Ngày 2/8, BV Nhi đồng 1 (TP.HCM) cho biết, bé Đặng Thái K. (26 tháng tuổi, ngụ tỉnh Nghệ An), nhập viện tại đây vì nuốt móc sắt.
Trước đó người nhà cho biết, bé tự lấy cái móc sắt rồi bất ngờ đưa vào miệng. Bệnh nhi sau đó nôn ói, đau vùng cổ, không ăn uống được.
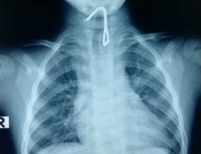
Khi đến khám tại BV địa phương và được chụp X-quang, kết quả X-quang cho thấy bé có khả năng mang dị vật cản quang vùng thực quản nên được chuyển đến bệnh viện (BV) Nhi Đồng 1 (TP.HCM).

Chiếc móc sắt nằm gọn trong thực quản bé.
Ekip điều trị thực hiện gây mê soi cấp cứu trong đêm, gắp được chiếc móc sắt dài gần 4cm ở miệng thực quản. Sau khi hồi tỉnh 3 giờ, bé đã có thể uống sữa và sau đó ăn cháo bình thường, không còn nôn ói, hết đau.
BS Lý Phạm Hoàng Vinh, khoa Tai mũi họng, BV Nhi đồng 1 cho biết, việc hóc các loại dị vật như vật dụng, đồ chơi, đồng xu, pin... ở trẻ nhỏ rất thường gặp và nguy hiểm.
Tai nạn có thể dẫn đến các biến chứng nguy hiểm như không ăn uống được, áp xe thành sau họng, áp xe cổ, áp xe – thủng thực quản, tổn thương mạch máu...
Do vậy bác sĩ khuyên cha mẹ khi nghi ngờ bé bị hóc các loại dị vật nên đưa bé ngay đến cơ sở y tế gần nhất để được khám lấy dị vật. Ngoài ra, cần luôn chú ý quan sát trẻ và không để các vật dụng nhỏ trong tầm tay trẻ.













