
Thai nhi được thông van tim xuyên bào thai đầu tiên ở Việt Nam chào đời
Thai nhi được thông van tim xuyên tử cung người mẹ đầu tiên ở Việt Nam chào đời sáng nay 30/1, bé khoẻ mạnh, nặng 2,9kg.

Thai nhi được thông van tim xuyên tử cung người mẹ đầu tiên ở Việt Nam chào đời sáng nay 30/1, bé khoẻ mạnh, nặng 2,9kg.

Bé 6 tháng tuổi bị kẹt cả thân người trong khoảng hở giữa thành nệm và tường trong suốt 3 giờ mà gia đình không hay biết.

Bé trai 9 tuổi ở Cà Mau đi xe đạp rồi tự ngã, ghi đông xe đập vào mắt, lực tác động mạnh sau cú ngã khiến mắt trái của em bị lồi ra ngoài.

Khoa Sốt xuất huyết của BV Nhi đồng 1 (TP.HCM) đang điều trị cho 60 trẻ bị sốt xuất huyết, trong đó có 7 trường hợp diễn tiến nặng.

Bệnh viện Nhi đồng 1 (TP.HCM) vừa thực hiện kỹ thuật oxy hoá máu bằng màng ngoài cơ thể (ECMO) cứu sống bé 3 tuổi bị viêm cơ tim tối cấp.

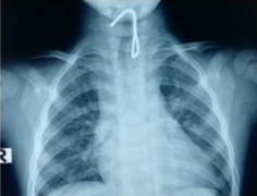
Các bác sĩ phải thực hiện gây mê soi cấp cứu trong đêm để lấy móc sắt ra khỏi cơ thể bé.

Bé trai 12 ngày tuổi bị đâm thủng não đã đến bệnh viện tái khám lần 2. Các bác sỹ nhận định sức khoẻ của bé trai 12 ngày tuổi bị đâm thủng não đã ổn định.

Do bị sốt cao nên sau khi rời Trung tâm Tam Bình, bé Bo đã được người nhà đưa đến bệnh viện Nhi đồng 1.

(VTC News) – Cơ quan công an tỉnh Bà Rịa – Vũng Tàu quyết định khởi tố vụ án nhằm điều tra làm rõ vụ một bé trai tử vong do nghi ngờ bị tiêm thuốc diệt cỏ.

(VTC News) - Từ sớm rất đông người đã có mặt để ghi nhận khoảnh khắc bé Quốc Huy trở về nhà trong vòng tay cha.

(VTC News) – Dự kiến vào sáng mai (18/11), anh Nam cùng gia đình sẽ vào bệnh viện Nhi Đồng 1 để đón bé Quốc Huy trở về nhà.