
Nha Trang: Phát hiện bệnh nhân mắc nhồi máu đa ổ bán cầu não hiếm gặp
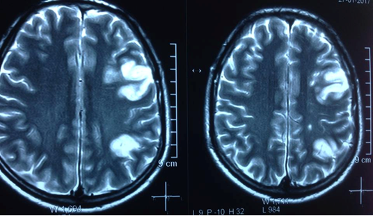
Lãnh đạo Bệnh viện Đa khoa Tâm Trí Nha Trang (Khánh Hòa) cho biết, bệnh viện vừa phát hiện một bệnh nhân bị nhồi máu đa ổ vùng bán cầu não trái, đây là loại bệnh rất hiếm gặp.

Lãnh đạo Bệnh viện Đa khoa Tâm Trí Nha Trang (Khánh Hòa) cho biết, bệnh viện vừa phát hiện một bệnh nhân bị nhồi máu đa ổ vùng bán cầu não trái, đây là loại bệnh rất hiếm gặp.