Ngày 29/9, đại diện Bệnh viện Hoàn Mỹ Sài Gòn cho biết, bệnh viện vừa can thiệp kịp thời, cứu sống bệnh nhân T.V.T.C (33 tuổi, ngụ TP.HCM) xuất huyết nhiều. Tại thời điểm nhập viện, bệnh nhân nôn ói ra máu và đi cầu phân đen liên tục.
Qua kiểm tra ban đầu, các bác sĩ phát hiện lượng máu mất đi của bệnh nhân ở mức báo động, phải truyền 3,5 lít máu để bồi hoàn.
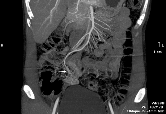
Sau khi hồi sức tích cực, chụp cắt lớp ổ bụng, các bác sĩ phát hiện búi dị dạng mạch máu từ một nhánh của động mạch mạc treo tràng trên, nằm ngay trên thành ruột non đang có dấu hiệu chảy máu.

Hình ảnh CT của bệnh nhân khi vào viện. (Ảnh: BVCC)
Bệnh nhân được hội chẩn, điều trị khẩn cấp bằng phương pháp can thiệp mạch để nút búi dị dạng. Các bác sĩ đã luồn một ống thông đường kính 1mm vào chính xác vị trí chảy máu nút mạch cứu bệnh nhân. Sau 1 ngày điều trị, bệnh nhân không còn triệu chứng chảy máu, sức khỏe dần phục hồi.
Trước nhập viện, anh C. đã đi cầu phân đen nhiều lần nhưng chủ quan nên không đi khám. Trong lúc đang đi ăn tiệc cưới thì anh ói ra máu liên tục nên mới đi cấp cứu.
Theo bác sĩ Nguyễn Phước Thuyết, Trưởng Khoa Chẩn đoán hình ảnh Bệnh viện Hoàn Mỹ Sài Gòn, với kỹ thuật can thiệp mạch, người bệnh tránh được việc phải cắt bỏ đoạn ruột, thời gian phục hồi nhanh, thời gian cần nằm viện ngắn.
Qua trường hợp này, bác sĩ Thuyết cũng nhấn mạnh người dân cần lưu ý khi đi cầu phân đen là biểu hiện của chảy máu từ đường tiêu hóa, cần đi khám sớm để tìm nguyên nhân. Việc vào viện trễ có thể đe doạ đến tính mạng.













Bình luận