Tù nhân thường có vô số cách để nhận các món “đồ tiếp tế” bất hợp pháp. Chẳng hạn, một người đàn ông ở Australia nhét một gói cần sa vào mũi của mình. Tuy nhiên, anh ta thành công đến nỗi gói cần sa bị kẹt ở đó gần 2 thập kỷ.
Người đàn ông 48 tuổi gần đây bị chứng đau đầu và các bác sĩ phải thực hiện quét để tìm nguyên nhân. Sau một vài câu hỏi, anh thừa nhận mình bị nghẹt mũi bên phải trong nhiều năm cũng như nhiễm trùng tái phát.

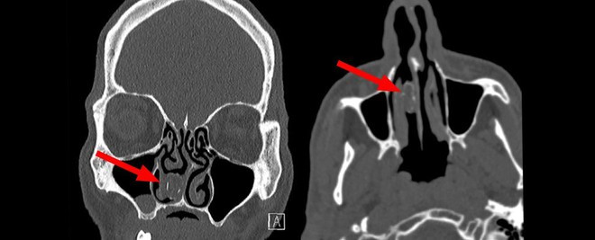
Gói cần sa kẹt trong khoang mũi người đàn ông Australia.
Khi quét vùng mũi, các bác sĩ phát hiện “một khối cứng màu xám” trong khoang mũi của người đàn ông. Các chuyên gia tai mũi họng tại Bệnh viện Westmead (Sydney) thực hiện nội soi gây mê để loại bỏ nó và lôi ra một “viên nang cao su có chứa rau/cây thoái hóa".
Cuối cùng, người đàn ông cũng chịu kể lại câu chuyện. Khi bị tống giam năm 30 tuổi, bạn gái của ông ta đem đến một món quà nhỏ. Để thoát khỏi quản giáo, người tù nhân này nhét gói cần sa lên lỗ mũi bên phải.
Đưa nó vào rõ ràng là dễ hơn việc lấy ra. Trong khi cố gắng lấy ra, người đàn ông càng đẩy nó lên cao hơn trong mũi. Một số thời điểm, ông tin rằng gói cần sa trượt xuống cổ họng và biến mất vĩnh viễn.
18 năm sau, ông giúp các bác sĩ tạo ra ca mổ đầu tiên trên thế giới để lấy một vật thể dài 1,9 cm từ khoang mũi với tên kỹ thuật là rhinolith (tiếng Hy Lạp nghĩa là đá mũi).
Việc lôi các vật thể cứng, khoáng hóa từ mũi bệnh nhân không thường gặp đối với các bệnh viện. Từ trước đến nay, chỉ có một trường hợp từng được ghi nhận về việc bệnh nhân nhét thuốc phiện, bọc trong túi ni lon vào mũi.
Thông thường, những vật thể đi lạc vào mũi bệnh nhân có thể là các loại hạt, cục máu đông, thậm chí là răng.
Điểm khiến các bác sĩ ngạc nhiên là cơ thể của người đàn ông này tạo một lớp vỏ bao quanh vật thể nói trên. Có ý kiến cho rằng cơ thể người đang cố gắng vận hành giống với cách tạo ra ngọc trai.














Bình luận