Bệnh nhân là H.T.L.A. (nữ giới, 38 tuổi) thường trú tại phường Phước Long, thành phố Nha Trang, tỉnh Khánh Hòa. Người phụ nữ có tiền sử chấn thương sọ não khoảng 10 năm, sau đó động kinh và đang điều trị bằng thuốc uống.
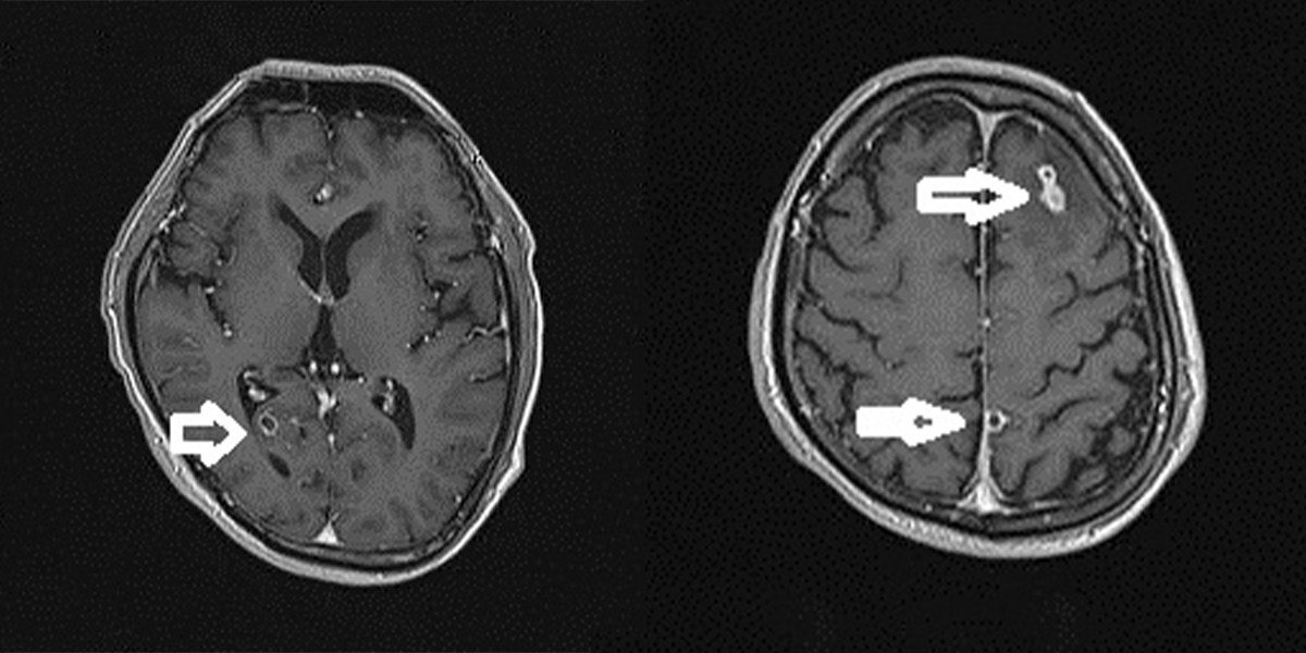
Trước khi vào viện, chị xuất hiện triệu chứng đau đầu dữ dội, xuất hiện nhiều cơn co giật mặc dù đã kiểm soát bằng thuốc chống động kinh. Chị được các bác sĩ chuyên khoa Ngoại Thần kinh chỉ định làm cận lâm sàng. Hình ảnh chụp cổng hưởng từ sọ não tiêm chất tương phản cho thấy, người bệnh bị tổn thương não do sán. Kết quả xét nghiệm giải phẫu bệnh là mô não có nhiều ổ viêm hạt, trung tâm chất hoại tử, bao quanh lympho, đại bào nhiều nhân, tương bào và tế bào sợi. Bác sĩ kết luận người bệnh tổn thương viêm não do nang sán.

Hình ảnh sán làm tổ trong não.
Các bác sĩ khoa Ngoại Thần Kinh hội chẩn và thống nhất can thiệp bằng phương pháp ngoại khoa để điều trị cho người bệnh. Ngày 4/8, người bệnh được chỉ định phẫu thuật. Sau 4 tiếng phẫu thuật, các bác sĩ lấy toàn bộ bao áp xe não. Sáu ngày sau mổ, hiện tại, người bệnh sức khỏe ổn định, vết mổ khô, di chuyển và giao tiếp tốt.
Ths.BS Hà Xuân Nguyên, Trưởng khoa Giải phẫu bệnh bệnh viện Hữu nghị Việt Nam - Cuba Đồng Hới cho biết, nguyên nhân mắc bệnh sán não là do ăn phải ấu trùng sán dây lợn hoặc trâu, bò (thường do ăn thịt lợn hoặc trâu, bò tái, nem hoặc thịt nướng chưa nấu chín), hoặc rau sống chưa vệ sinh sạch sẽ. Khi vào cơ thể, ấu trùng sán di chuyển theo đường máu tới não, phổi, gan và gây bệnh. Nếu ấu trùng lên tá túc ở não sẽ gây bệnh ấu trùng sán não.
Nhiều người Việt thích ăn các món tái, sống dẫn tới bị sán nhưng không biết. Sán khi vào cơ thể có thể đi tới tim, gan, phổi, não gây tổn thương nhiều cơ quan.
Các triệu chứng thường gặp của người mắc bệnh kén sán não:
- Người bệnh nôn ra đốt sán dây.
- Đốt sán dây bò ra hậu môn.
- Người bệnh bị đau đầu, động kinh.
- Có thể đau bụng âm ỉ, rối loạn tiêu hoá, cơ thể suy nhược, ăn uống kém.
- Các phương pháp chẩn đoán cận lâm sàng:
- Xét nghiệm phân có trứng sán hoặc đốt sán dây trưởng thành.
- Chụp MRI hoặc CT Scan thấy nang sán ký sinh ở não, hình ảnh các nang sán não có thể gặp một hay nhiều giai đoạn khác nhau.
- Chẩn đoán miễn dịch ELISA.
Để phòng bệnh, bác sĩ khuyên mỗi người cần đảm bảo vệ sinh môi trường, ăn chín uống sôi, tẩy giun sán định kỳ 6 tháng một lần (với trẻ từ 2 tuổi trở lên). Chúng ta cần vệ sinh tay bằng xà phòng trước khi ăn và sau khi đi vệ sinh; thận trọng khi ăn các loại rau sống trồng dưới nước như rau ngổ, rau muống, chỉ ăn thức ăn được rửa sạch và nấu chín, không ăn thịt lợn nghi là thịt lợn gạo, không nuôi lợn thả rông...
Trước đó, Bệnh viện Quốc tế Vinh tiếp nhận trường hợp ông H.V.P 65 tuổi, trú tại Đô Lương, Nghệ An nhập viện trong tình trạng đau đầu và lên cơn co giật (động kinh). Với các triệu chứng lâm sàng của người bệnh, kèm theo kết quả chụp cắt lớp vi tính (CT), bác sĩ phát hiện nốt vôi hóa nhỏ trong nhu mô não hai bán cầu đại não, có phù não xung quanh, Bác sĩ nghi ngờ ông P. mắc bệnh kén sán não ở người. Để chẩn đoán xác định bệnh lý, người bệnh được chỉ định chụp cộng hưởng từ (MRI) sọ não có tiêm thuốc và thực hiện xét nghiệm ELISA.














Bình luận