
Kinh hãi sán làm tổ trong não người phụ nữ
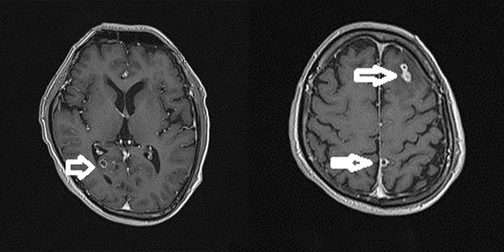
Bệnh viện Hữu nghị Việt Nam - Cuba Đồng Hới vừa tiếp nhận và điều trị cho trường hợp người bệnh bị tổn thương viêm não do nang sán.

Bệnh viện Hữu nghị Việt Nam - Cuba Đồng Hới vừa tiếp nhận và điều trị cho trường hợp người bệnh bị tổn thương viêm não do nang sán.

Tại Khoa Côn trùng, Viện Sốt rét - Ký sinh trùng và Côn trùng Trung ương lại có những người lặng lẽ chăm sóc, nuôi dưỡng và mong cho đàn muỗi phát triển thật tố