Bệnh viện Bệnh Nhiệt đới TP.HCM cho biết, tại đây mới điều trị cho 2 bệnh nhân sốt rét ác tính là người nhập cảnh từ châu Phi.
Trường hợp đầu tiên là du học sinh 24 tuổi, ngụ tại quận Bình Thạnh từ Cameroon về. Sau khi nhập cảnh 1 ngày, nữ bệnh nhân có biểu hiện sốt, uống thuốc không khỏi. Tới ngày thứ 6, du học sinh này được xét nghiệm máu và phát hiện ký sinh trùng sốt rét và sau đó được điều trị tại Bệnh viện Bệnh Nhiệt đới TP.HCM. Thời điểm nhập viện, nữ bệnh nhân hôn mê, vàng da, mật độ ký sinh trùng sốt rét cao, thiếu máu và nước tiểu có màu nâu đỏ như nước xá xị.

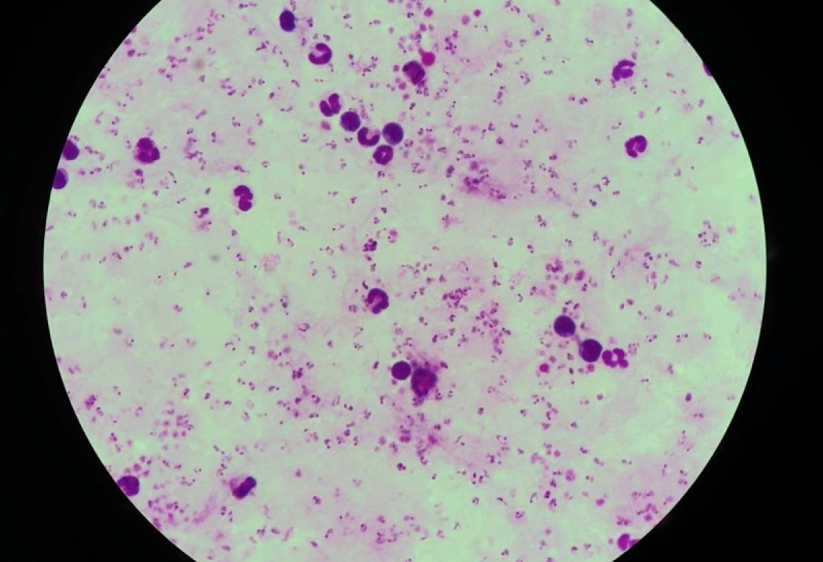
Hình ảnh ký sinh trùng sốt rét mật độ cao trong máu nữ bệnh nhân ngụ quận Bình Thạnh.
Trường hợp còn lại là nam bệnh nhân 63 tuổi, quốc tịch Trung Quốc, nhập cảnh từ Bờ Biển Ngà. Bệnh nhân sốt trên đường di chuyển, khi hạ cánh xuống sân bay Tân Sơn Nhất đã được công ty đưa vào một bệnh viện, xét nghiệm ghi nhận sốt rét. Đây là trường hợp sốt rét ác tính với mật độ ký sinh trùng cao, suy thận, tổn thương gan.
Cả hai bệnh nhân được điều trị tại khoa chăm sóc tích cực với thuốc đặc trị sốt rét và phối hợp nhiều phương tiện điều trị hỗ trợ.
Tiến sĩ, bác sĩ Hồ Đặng Trung Nghĩa, Trưởng Khoa Nhiễm Việt - Anh, Bệnh viện Bệnh Nhiệt đới TP.HCM cho biết, sốt rét ác tính là bệnh cảnh nặng có suy nội tạng, nếu không điều trị kịp thời sẽ đưa đến tử vong. Bệnh nhân vào viện sớm, xử trí kịp thời, tỷ lệ cứu sống, hồi phục cao.
Hiện, sốt rét vẫn là bệnh nằm trong chương trình phòng chống quốc gia, thuốc điều trị được cấp miễn phí. Việt Nam đang hướng đến thanh toán hoàn toàn bệnh vào năm 2030. Những năm gần đây, số ca bệnh ngày càng giảm. Khu vực phía Nam chủ yếu ghi nhận các ca bệnh tại Bình Phước. Bệnh viện Bệnh Nhiệt đới TP.HCM thỉnh thoảng tiếp nhận các ca bệnh từ nước ngoài về, chủ yếu từ châu Phi.
Cũng theo bác sĩ Nghĩa, bệnh sốt rét ngày càng ít gặp nên bệnh nhân thường được phát hiện trễ. Bệnh thường chẩn đoán nhầm với bệnh sốt xuất huyết Dengue đang lưu hành ở Việt Nam. Khi khám một bệnh nhân bị sốt cần khai thác kỹ về dịch tễ.
Bệnh sốt xuất huyết Dengue thường xuất hiện ở đô thị, nơi tập trung đông dân. Ngược lại, bệnh sốt rét chủ yếu xảy ra ở vùng lưu hành bệnh, đặc biệt các quốc gia châu Phi. Tại Việt Nam, cần nghĩ đến sốt rét nếu bệnh nhân sống hoặc có lui tới vùng rừng núi, vùng ngập mặn ven biển...
Bác sĩ Nghĩa khuyến cáo, người đi làm, trở về từ vùng lưu hành sốt rét như Bình Phước, các tỉnh vùng Tây Nguyên, Lào, Campuchia, châu Phi, người trước đó có truyền máu, hoặc có mắc sốt rét gần đây, nếu sốt thì nên đến các cơ sở y tế khám bệnh, xét nghiệm chẩn đoán sốt rét. Hiện nay, bệnh sốt rét có thể chẩn đoán dễ dàng bằng xét nghiệm máu và test nhanh.
















Bình luận