Dale Hay, 25 tuổi, người Anh sinh ra đã bị mắc chứng bệnh Pectus excavatum – một thuật ngữ Latinh ám chỉ lồng ngực càng ngày càng bị bó hẹp lại.
![]() |
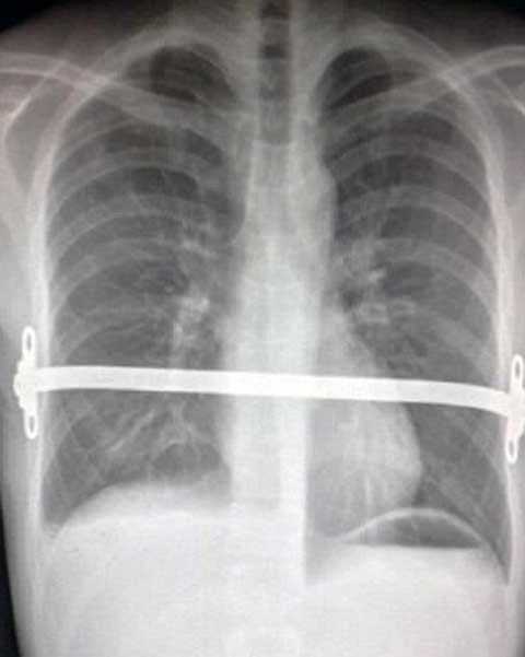
| Các bác sĩ đã sáng tạo một thanh đỡ bằng kim loại gắn cố định vào ương của Dale để bảo vệ tim và phổi của anh |
Chứng bệnh bẩm sinh này khiến cho lồng ngực của Dale phát triển theo hướng đi vào trong bóp bẹp tim và phổi. Nếu tình trạng này không được khắc phục kịp thời thì Dale không thể tiếp tục duy trì sự sống.
Dale chia sẻ khi mới sinh ra dù lồng ngực của anh hơi bất thường, nhưng lúc đó các bác sĩ chưa biết được sự bất thường đó có ảnh hưởng tới cuộc sống của anh không.
Tới khi Dale được khoảng 15, 16 tuổi thì anh bắt đầu cảm thấy bị khó thở thường xuyên nhưng cũng chưa biết chắc nguyên nhân. Sau khi tìm hiểu các thông tin trên internet anh mới biết mình mắc chứng bệnh hiếm gặp.
Dale đã tới bệnh viện để kiểm tra, tuy nhiên các bác sĩ chưa tìm ra nguyên nhân nên đành phải chuyển anh tới các chuyên gia về ngực của Bệnh viện Heartland ở Birmingham. Tại đây các bác sĩ cho biết lồng ngực của anh càng ngày càng hướng về phía trong bóp bẹp tim và phổi của anh.
Thật may mắn, các bác sĩ đã sáng tạo ra một thanh đỡ gắn cố định vào xương của Dale để bảo vệ tim và phổi giúp anh duy trì sự sống.
Hiện tại, sau 3 năm thanh đỡ bằng kim loại được gắn cố định vào xương của Dale để giúp anh bảo vệ tim và phổi đã có thể cố định được lồng ngực anh phát triển theo hướng bình thường nên các bác sĩ đã có thể tháo bỏ thanh đỡ này ra.
Kim Ngân














Bình luận