Ngày 6/7, thông tin từ Bệnh viện Nhi đồng 2 (TP.HCM), các y bác sĩ bệnh viện vừa cứu sống ngoạn mục 2 bệnh nhi mắc bệnh HEE - bệnh não cấp hiếm gặp, tiên lượng xấu.
Đây là hai trường hợp bị hội chứng co giật nửa người, liệt nửa người nặng phải thở máy và cần hồi sức tích cực.

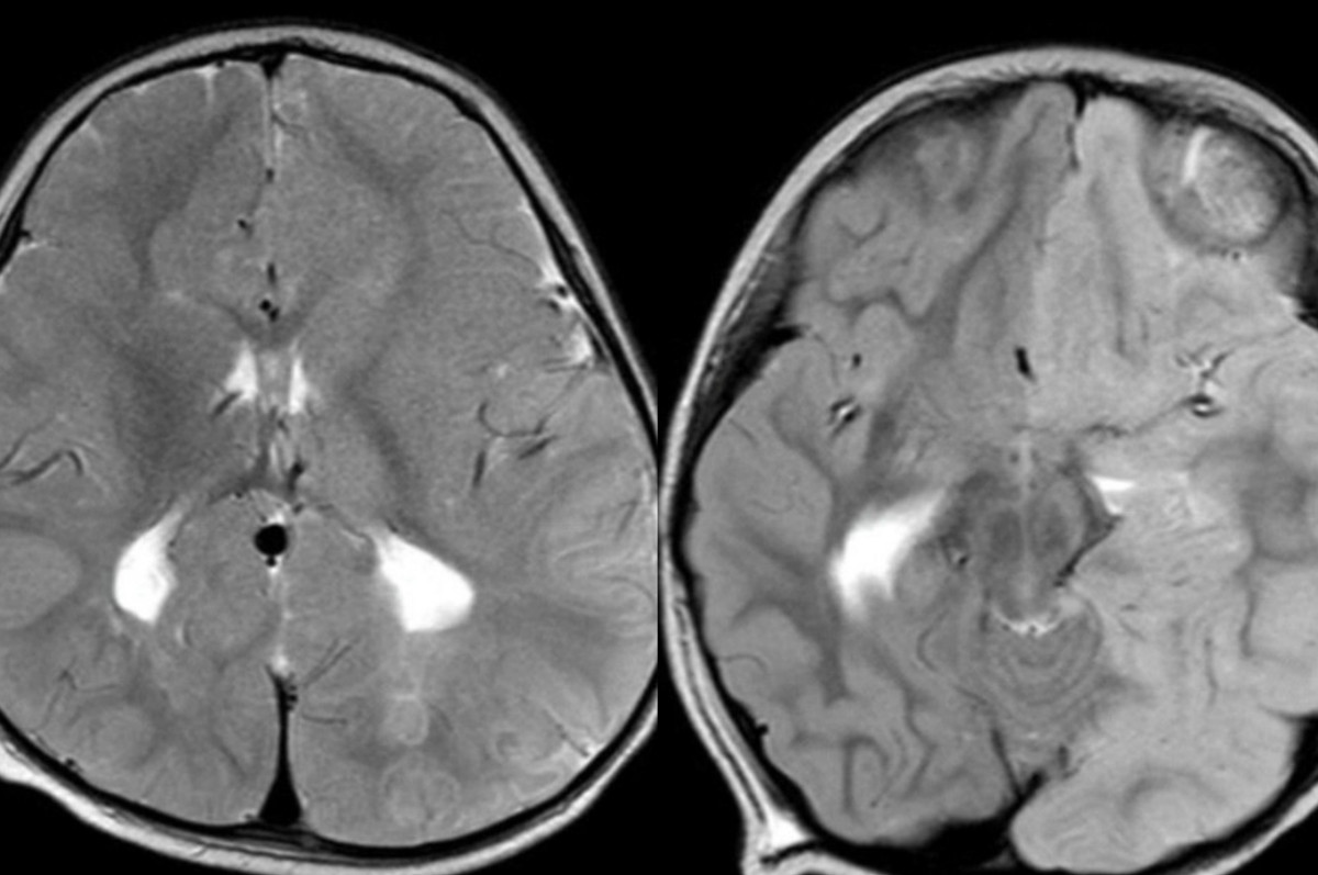
HEE là một bệnh hiếm gặp, có trạng thái co giật nửa người kéo dài trên trẻ sốt dưới 4 tuổi, gây liệt nửa người cùng bên co giật và teo não bán cầu đối bên. (Ảnh: BVCC)
Bệnh viện Nhi đồng 2 cho biết, đầu tháng 5/2023, khoa Hồi sức tích cực nhiễm tiếp nhận ca đầu tiên là bé gái L.T.N, 18 tháng tuổi (ngụ TP Thủ Đức).
Theo lời kể của người nhà, bệnh nhi N. sốt cao 39 độ C, co giật toàn thân, được gia đình đưa đến bệnh viện trên địa bàn. Tuy nhiên, cơn co giật kéo dài, kém đáp ứng với thuốc chống co giật, N. được chuyển đến Bệnh viện Nhi đồng 2 trong trạng thái lơ, co giật toàn thân xen kẽ với những đợt co giật nửa người bên phải.
Bệnh nhi N. được đặt nội khí quản, chuyển khoa Hồi sức tích cực Nhiễm. Kết quả MRI sọ não cho thấy bé có tổn thương hạn chế khuếch tán lan tỏa ở bán cầu não trái trong khi vỏ não phải bình thường.
Do kết quả xét nghiệm khác của bé âm tính với các tác nhân viêm não như Herpes simplex, viêm não Nhật Bản, soi và cấy không có vi khuẩn nên bệnh nhi được điều trị với steroid liều cao, giúp thở, chống phù não.
Sau 3 ngày điều trị, tri giác của bé có dấu hiệu cải thiện và dần được cai máy thở. Dù còn yếu nửa người phải, bé tiếp tục điều trị thuốc động kinh, vật lý trị liệu vận động. Hiện, bé N. đã phục hồi hoàn toàn về tri giác, sức cơ, trương lực cơ toàn thân.
Trường hợp thứ 2 là bé gái N.H.X., sinh năm 2020 (ngụ TP.HCM) nhập viện cuối tháng 5.
Trước đó, bệnh nhi bệnh và sốt cao, sau đó lên cơn co giật kéo dài 30 phút trước khi đưa đến Bệnh viện Nhi đồng 2. Tại đây, bé tiếp tục co giật nhiều lần với cơn toàn thể xen kẽ co giật miệng và tay phải. Sau co giật, bé X. mê, suy hô hấp và được cho thở máy.
Bệnh nhi X. có tiền sử động kinh toàn thể từ 14 tháng tuổi và đang điều trị Depakin.
BS.CKII Đỗ Châu Việt, Trưởng Khoa Hồi sức tích cực Nhiễm Bệnh viện Nhi Đồng 2 cho biết, kết quả MRI sọ não của bé X. cũng cho thấy có tổn thương kèm phù não gần như toàn bộ nửa bán cầu trái, đẩy lệch đường giữa sang phải, bán cầu não phải bị ép xẹp.
Qua 10 ngày tích cực điều trị, tri giác bé X. có cải thiện chậm, có nhịp tự thở tốt và cai được máy thở, tiếp tục kiểm soát động kinh và vật lý trị liệu vận động. Tuy nhiên. do bé còn di chứng, mở mắt kém tiếp xúc, cử động hạn chế và yếu nửa người phải.
Bệnh nhi X. đã ra viện nhưng vẫn cần theo dõi, tái khám và can thiệp khi cần thiết.
BS Việt cho biết thêm, cả 2 bệnh nhi nhập viện trong bệnh cảnh là sốt, co giật và rối loạn tri giác. Ở giai đoạn cấp tính, bệnh nhân xuất hiện nhiều cơn co giật khó kiểm soát, tổn thương và phù não một bên bán cầu não.
"Nếu không kiểm soát tốt, bệnh nhân có thể liệt nửa người suốt đời, di chứng não và sống đời sống thực vật, thậm chí có thể tụt não dẫn đến tử vong", BS Việt nói.
















Bình luận