Suốt mấy ngày nay, người phụ nữ 51 tuổi, Hà Nội ho nhiều, có đờm, đau rát họng kèm người gai rét, sốt cao, đau rát vùng sau xương ức và khó thở.
Nghĩ là cảm cúm thông thường nên chị tự đi mua thuốc cảm cúm về uống. Sau uống tình trạng không thuyên giảm, vẫn sốt cao kèm mệt nhiều, ăn kém nên quyết định nhập viện trong đêm.
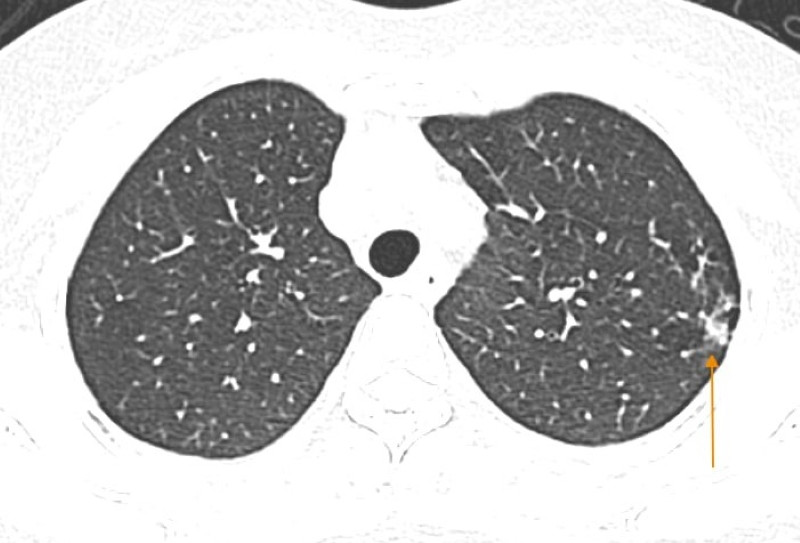
Bác sĩ chỉ định thực hiện các kỹ thuật cận lâm sàng cần thiết phục vụ chẩn đoán. Trong đó, xét nghiệm cúm A cho kết quả dương tính. Đáng chú ý, hình ảnh chụp cắt lớp vi tính cho thấy hai phổi bị tổn thương, nốt đặc, dày tổ chức kẽ thùy trên phổi trái.
Chẩn đoán xác định, bệnh nhân mắc cúm A kèm theo biến chứng viêm phổi, chỉ định điều trị nội trú.

Hình ảnh chụp cắt lớp vi tính phổi phát hiện tổn thương. (Ảnh: BVCC)
Cúm A còn được gọi là cúm mùa. Đây là bệnh nhiễm trùng đường hô hấp cấp tính do các loại virus cúm A gây ra. Các chủng virus cúm A phổ biến như A/H5N1, A/H1N1, A/H3N2, A/H7N9. Đặc biệt, chủng A/H7N9 và A/H5N1 thường tồn tại trong gia cầm và có khả năng lây lan sang con người, từ đó dẫn đến dịch bệnh.
Theo TS.BS Ngô Chí Cương - Phó Giám đốc Chuyên môn, Trưởng khoa Nội, Bệnh viện Đa khoa Medlatec, đa phần các trường hợp bị nhiễm cúm A thường diến biến khá nhẹ, nhưng có những tình huống đặc biệt nguy hiểm, thậm chí là gây ra tử vong.
“Nhiều người có tâm lý chủ quan khi mắc cúm, cho rằng chỉ là bệnh nhẹ và không đi khám sớm. Tuy nhiên, những người hệ miễn dịch suy giảm, cúm có thể gây ra các biến chứng nguy hiểm, làm tổn thương cơ thể ở mức độ nghiêm trọng”, bác sĩ Cương nói.
Cúm A sẽ gây ra biến chứng điển hình như viêm phổi. Tình trạng này xuất hiện phổ biến ở các nhóm người có yếu tố nguy cơ cao như trẻ em, người trên 65 tuổi, hay người có bệnh mạn tính như suy tim, tiểu đường, bệnh phổi tắc nghẽn mạn tính, xơ gan.
Ngoài ra, cúm A còn có khả năng gây viêm bội nhiễm (viêm tai giữa, viêm mũi xoang mủ), viêm cơ tim, nhiễm khuẩn huyết, nhiễm nấm huyết. Với phụ nữ mang thai, mắc cúm A sẽ dễ dẫn đến biến chứng viêm phổi nặng và suy thai, sảy thai, thai chết lưu, đẻ non.
2 dấu hiệu cần nhập viện ngay
Thời điểm hiện nay, các bệnh lây truyền qua đường hô hấp có nguy cơ bùng phát, trong đó có bệnh cúm. Thực tế cho thấy, nhiều người tâm lý chủ quan khi mắc cúm, cho rằng đó là bệnh nhẹ nên không đi khám. Thậm chí, có người còn thói quen “tự làm bác sĩ”, mua thuốc về điều trị. Khi bệnh diễn tiến nặng, bệnh nhân mới nhập viện thì đã mắc phải nhiều biến chứng nguy hiểm, thậm chí đã ở trong tình trạng suy đa cơ quan, tiên lượng điều trị khó khăn.
Bác sĩ Cương nhấn mạnh, dù cúm mùa thường được xem là bệnh nhẹ, nhưng nếu xuất hiện hai dấu hiệu sau, người bệnh cần đến cơ sở y tế ngay lập tức:
- Suy hô hấp (thở nhanh, thở nông, khó thở, co kéo cơ hô hấp, tím tái);
- SpO2 giảm dưới 93% (chỉ số bão hòa oxy trong máu thấp có thể dẫn đến suy hô hấp cấp).
Bên cạnh đó, những người có bệnh nền như hen phế quản, COPD, tiểu đường, bệnh tim mạch có nguy cơ biến chứng cao hơn và cần đặc biệt theo dõi sát sao.
Ngoài ra, chuyên gia khuyến cáo những biện pháp phòng ngừa bệnh hiệu quả người dân cần áp dụng như tiêm phòng vaccine cúm, tuân thủ các thói quen vệ sinh cá nhân, giữ vệ sinh nơi ở, cơ quan, trường học, hạn chế tiếp xúc với nguồn lây… Đặc biệt, người dân tuyệt đối không tự ý sử dụng thuốc đặc biệt là thuốc kháng virus như Tamiflu mà phải tuân theo hướng dẫn của thầy thuốc.
Nếu xuất hiện các dấu hiệu nghi ngờ mắc cúm, người dân hãy chủ động thực hiện thăm khám để phát hiện kịp thời và áp dụng các biện pháp điều trị hiệu quả.



















Bình luận