Ngày 25/12, Bệnh viện Việt Nam – Thụy Điển Uông Bí (TP Uông Bí, Quảng Ninh) cho biết, các bác sĩ bệnh viện đã phẫu thuật cho một trẻ 3 tuổi bị chấn thương sọ não do vô tình vặn tay ga.
Gia đình bệnh nhi cho biết, trẻ vô tình vặn tay ga gây va chạm với xe máy khác khiến trẻ bị ngã. Sau ngã, trẻ chảy máu vùng đầu và xây xát vùng cánh tay.
Ngay sau đó, trẻ được đưa đến cấp cứu tại Bệnh viện Việt Nam – Thụy Điển Uông Bí.

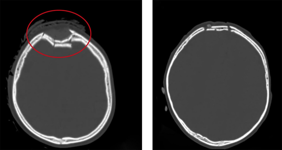
Hình ảnh vùng sọ não bị lún của trẻ trước và sau khi phẫu thuật (vùng khoanh tròn màu đỏ). (Ảnh: Bệnh viện Việt Nam - Thuỵ Điển Uông Bí)
Các bác sĩ khi thăm khám trên phim chụp CT.Scanner sọ não phát hiện, trẻ bị vỡ lún xương sọ trán phải, đụng dập tụ máu nhu mô não trán phải. Bệnh nhi được phẫu thuật nâng lún xương sọ, cầm máu và xử trí vết thương.
Sau phẫu thuật, sức khỏe của trẻ ổn định và đang tiếp tục được theo dõi, điều trị tại bệnh viện.
Các bác sĩ Bệnh viện Việt Nam - Thuỵ Điển Uông Bí khuyến cáo, việc đột ngột tắt máy khi xe đang chạy hay vô tình vặn tay ga là những tình huống nguy hiểm có thể xảy ra khi các bậc phụ huynh cho trẻ ngồi trước xe máy.
Vì vậy, phụ huynh tuyệt đối không cho trẻ nhỏ đứng trước xe máy, đặc biệt với các dòng xe tay ga. Khi gặp tình huống bất ngờ xe phanh gấp hoặc di chuyển với tốc độ không kiểm soát sẽ gây ra tai nạn cho trẻ và mọi người xung quanh. Khi cho trẻ đi xe máy cần để trẻ ngồi giữa 2 người lớn hoặc dùng đai đeo an toàn và đội mũ bảo hiểm cho trẻ để tránh gặp phải các chấn thương nguy hiểm.
















Bình luận