Trung tâm Kiểm soát và Phòng ngừa Dịch bệnh Trung Quốc gần đây cảnh báo rằng số ca nhiễm virus Metapneumovirus ở người (HMPV) có các triệu chứng tương tự như cúm và COVID-19, đã gia tăng đáng kể ở Trung Quốc vào đầu mùa đông.
Trẻ em dưới 5 tuổi, người cao tuổi và những người có khả năng miễn dịch kém đều là các nhóm có nguy cơ cao dễ mắc virus này. Hiện chưa có vaccine hoặc thuốc đặc trị HMPV.

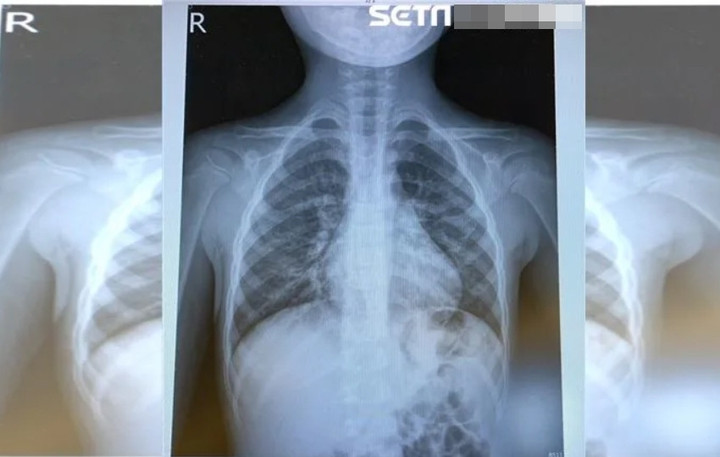
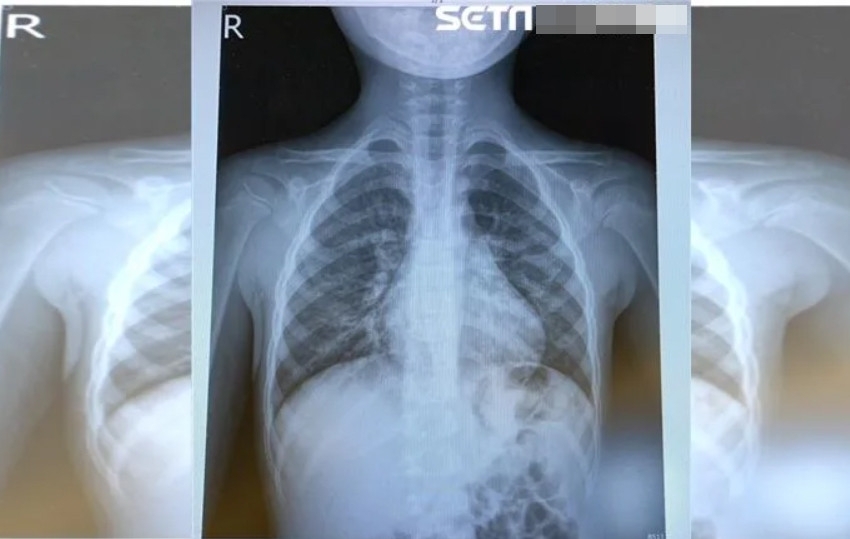
Số người nhiễm virus HMPV ảnh hưởng đến phổi tăng lên trong mùa đông năm nay của Trung Quốc. (Ảnh: BSCC)
Các triệu chứng phổ biến khi người bệnh nhiễm virus Metapneumovirus là ho, sốt, nghẹt mũi và khó thở. Đây là một trong những nguyên nhân chính gây nên tình trạng nhiễm trùng đường hô hấp cấp tính ở trẻ dưới 5 tuổi.
Trong những trường hợp nghiêm trọng, virus này có thể khiến trẻ dưới 5 tuổi bị viêm phế quản hoặc viêm phổi nặng. Đối với người cao tuổi, HMPV có thể gây nhiễm trùng phổi hoặc làm trầm trọng thêm bệnh hen suyễn.
Dựa trên các thông tin từ tờ HK01, Singtao và truyền thông Trung Quốc, Trung tâm Kiểm soát và Phòng ngừa Dịch bệnh Trung Quốc gần đây cho biết, các bệnh truyền nhiễm đường hô hấp cấp tính ở quốc gia này vẫn sẽ có xu hướng gia tăng trong thời gian tới, nhất là HMPV. Loại virus này được các nhà nghiên cứu Hà Lan phát hiện lần đầu tiên vào năm 2001.
Dựa theo các số liệu tổng hợp từ những bệnh viện trọng điểm trên khắp Trung Quốc, kể từ đầu năm nay, tỷ lệ bệnh nhân dưới 14 tuổi dương tính với HMPV đã tăng lên nhanh chóng.
Bác sĩ Tạ Tôn Học, Giám đốc Khoa Cấp cứu Nhi khoa của bệnh viện trực thuộc Đại học Y (Trung Quốc) cho biết hiện tại, chưa có loại thuốc đặc trị HMPV mà chủ yếu dựa vào các liệu pháp hỗ trợ khác nhau.
Ngoài ra, bác sĩ này cho hay, HMPV dễ lây truyền qua tiếp xúc gần, việc đeo khẩu trang không thể ngăn chặn hoàn toàn virus. Vì vậy, bác sĩ Tạ khuyên mọi người cần thực hiện ngay 2 biện pháp là rửa tay thường xuyên và tránh tụ tập ở nơi đông người, chạm vào mắt, tai, miệng hay mũi của nhau.
Mọi người cần rửa tay trước khi chuẩn bị đồ ăn hoặc dùng bữa; rửa tay sạch sau khi đi vệ sinh, sau khi ho, xì mũi hoặc hắt hơi; sau khi chăm sóc người bệnh và xử lý rác thải. Những người cao tuổi, trẻ em hoặc người mắc bệnh mạn tính nặng nên cố gắng tránh đến những nơi công cộng đông người. Nếu thực sự cần phải đi ra ngoài, họ nên đeo khẩu trang đúng cách.






Bình luận