Bệnh bạch hầu là một bệnh nhiễm trùng do trực khuẩn bạch hầu (corynebacterium diphtheria) gây ra. Vi khuẩn tiết ra ngoại độc tố gây tổn thương vòm hầu, họng, mũi, thanh quản, ở da và các vùng niêm mạc khác...
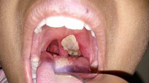
Dịch bệnh bùng phát không theo mùa rõ rệt, chỉ cần có nguồn bệnh là sẽ bị lây nhiễm. Vi khuẩn bạch hầu thường gặp nhất ở bệnh nhân viêm họng do viêm họng tạo màng giả trong vòm họng, nếu nhìn bên ngoài có thể thấy sưng hạch ở cổ.
Bệnh bạch hầu có thể lây truyền cao từ người mắc bệnh sang người khác thông qua đường hô hấp (hắt hơi, ho) và tiếp xúc trực tiếp. Khi người bệnh ho, hắt hơi thì vi khuẩn sẽ phát tán ra xung quanh theo đường không khí hoặc tiếp xúc qua da khi bị trầy xước dẫn đến lây lan vi khuẩn bạch hầu.
Tính mạng bệnh nhân sẽ bị đe dọa khi các mảng trắng lan rộng, làm tắc đường thở. Ngoài ra, nội độc tố bạch hầu cũng sẽ bị phóng thích gây viêm cơ tim, dẫn đến suy hô hấp, sốc tim và tử vong.

Tính mạng bệnh nhân sẽ bị đe dọa khi các mảng trắng lan rộng
Bệnh bạch hầu thường gặp hơn ở trẻ em 3 - 4 tuổi trở lên. Ở người lớn có hệ miễn dịch khỏe mạnh, cơ hội bệnh tự khỏi có thể lên tới 60%-70%. Nếu đã dẫn đến biến chứng nặng như tắc đường thở hay viêm cơ tim thì rất khó cứu. Để phòng chống bệnh chỉ có cách duy nhất là tiêm phòng để tăng miễn dịch phòng bệnh.
Các triệu chứng của bệnh bạch hầu có thể gây nhầm lẫn với một số biểu hiện nhiễm trùng đường hô hấp do virus. Do vậy, khi có những triệu chứng đau họng nghiêm trọng hoặc không có khả năng nuốt, cổ sưng, khó thở, tức ngực, cực kỳ suy yếu và tiếp xúc với người nghi ngờ mắc bạch hầu, sốt, cần phải đến ngay cơ sở y tế.
Để phòng ngừa căn bệnh này, cần lưu ý:

Đeo khẩu trang khi tiếp xúc với người nhiễm bệnh bạch hầu
- Đối với người nhiễm bệnh bạch hầu, bệnh nhân cần cách ly ít nhất 2 ngày sau điều trị kháng sinh thích hợp và đeo khẩu trang khi tiếp xúc. Ngoài ra cần vệ sinh phòng ở, đồ dùng cá nhân… bằng dung dịch sát khuẩn.
- Cần tiêm phòng bệnh bạch hầu cho trẻ mũi 5 trong 1 Quenvaxim vào lúc 2 - 4 tháng tuổi theo lịch của Bộ y tế, tiêm nhắc lại vắc xin bạch hầu – ho gà – uốn ván khi trẻ 18 tháng tuổi.
- Thường xuyên rửa tay bằng xà phòng, che miệng khi ho, hắt hơi, hạn chế tiếp xúc với người bệnh hay nghi ngờ mắc bệnh.
Video: Vừa thi đại học xong, nữ sinh bị ong đốt phù phổi













Bình luận