Ngày 30/11, Bệnh viện Bạch Mai cho biết vừa tiếp nhận một trường hợp ung thư đại tràng rất hiếm gặp khi bệnh nhân mới 15 tuổi. Tại Việt Nam, theo thống kê năm 2020, bệnh thường gặp ở người lớn tuổi, 80% các ca ung thư này được chẩn đoán sau tuổi 55, tuổi trung bình mắc là 74.
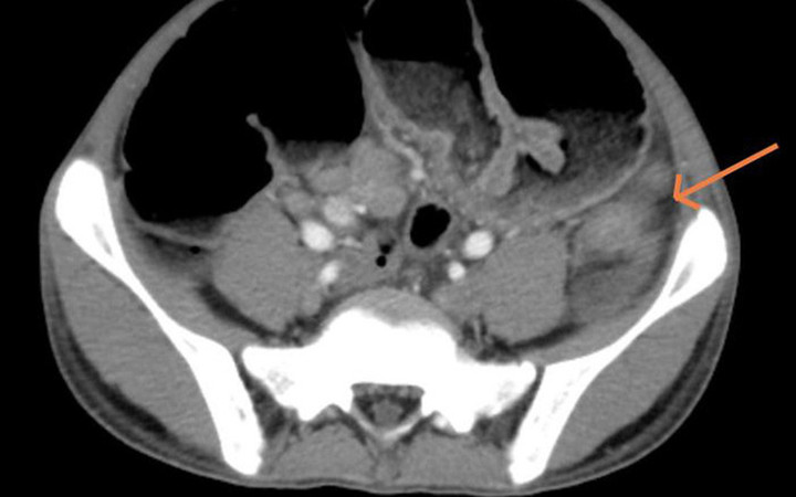
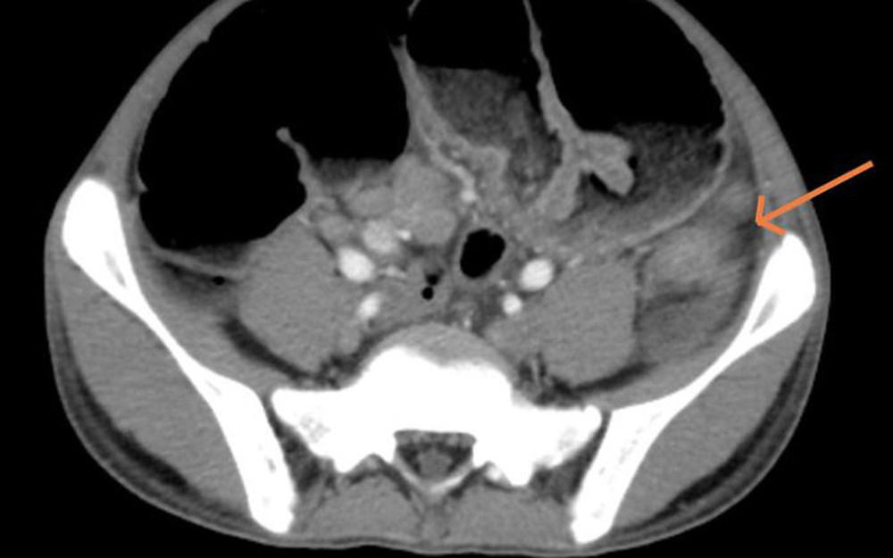
Theo đó, 4 ngày trước khi nhập viện, bé N.X.N. (15 tuổi) xuất hiện đau bụng vùng quanh rốn, hố chậu trái. Trẻ đau thành cơn, tăng dần, kèm bí trung đại tiện, bụng chướng dần, buồn nôn. Trước đó, bé chưa phát hiện bất thường. Tại bệnh viện, bệnh nhân được xác định có hội chứng tắc ruột.

Hình ảnh cắt lớp vi tính ổ bụng của bệnh nhi.
Bệnh nhân được chỉ định mổ cấp cứu, làm hậu môn nhân tạo đại tràng trái. Nội soi đại trực tràng cho thấy, ngay dưới hậu môn nhân tạo có khối sùi loét chiếm gần hết chu vi. Phần đại trực tràng còn lại không thấy tổn thương.
Sau 10 ngày, bệnh nhân được phẫu thuật nội soi cắt đại tràng trái và vét hạch. Giải phẫu bệnh sau mổ cho kết quả bệnh nhân bị ung thư đại tràng trái.
Các bác sĩ cho biết, theo các khuyến cáo trên thế giới, mốc bắt đầu sàng lọc ung thư đại trực tràng thường ở tuổi 45. Tuy nhiên, ung thư đại trực tràng đang có xu hướng ngày càng trẻ hóa, không chỉ gặp ở lứa tuổi trung niên mà có thể gặp ở cả thanh thiếu niên.
Do đó, với những đối tượng nguy cơ cao như tiền sử gia đình có người mắc ung thư đại trực tràng, mắc các hội chứng di truyền liên quan đến ung thư đại trực tràng như hội chứng Lynch, hội chứng đa polyp tuyến gia đình… hoặc khi có triệu chứng nghi ngờ như đi ngoài phân nhầy máu, thay đổi thói quen đại tiện, đau bụng kéo dài, cần đi khám sàng lọc bệnh sớm.

















Bình luận