Bệnh nhân Đ.A.H, nam 25 tuổi, tiền sử khỏe mạnh. 5 tháng trước, H. bị mắc COVID-19 tự điều trị tại nhà. Tuy nhiên, sau khi khỏi bệnh, các triệu chứng ho và đau tức ngực vẫn tồn tại và có dấu hiệu nặng lên. Nghĩ mình bị hậu COVID nên H. vẫn tự điều trị tại nhà. Tuy nhiên, một tháng trở lại đây, nam thanh niên đau tức ngực kèm ho và khó thở tăng lên.
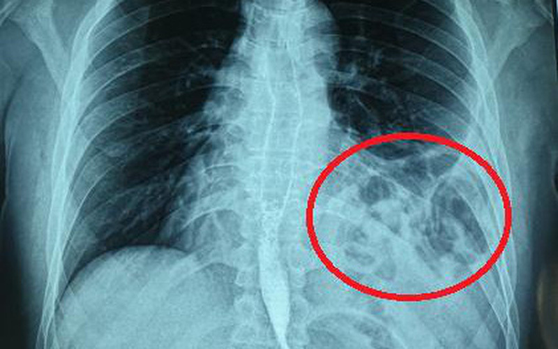
Đoán mình có vấn đề về đường hô hấp sau khi mắc COVID-19 nên H. đi khám chuyên khoa tại Bệnh viện Bạch Mai. Tại đây, H. được chỉ định chụp X.quang ngực và phát hiện tình trạng hình bóng hơi của ruột ở trên ngực trái.

Bóng khí của đại tràng ở trên ngực trái.
Hòan thiện thêm các xét nghiệm cận lâm sàng và hội chẩn thêm các chuyên khoa, chụp cắt lớp khẳng định bệnh nhân bị thoát vị tạng bụng qua cơ hoành lên ngực trái. H. chuyển tới khoa Phẫu thuật Tiêu hóa - Gan mật tụy để phẫu thuật.
Bệnh nhân được chỉ định mổ nội soi để sửa tổn thương và phục hồi cơ hoành. Khi đưa máy soi vào ổ bụng, phẫu thuật viên nhận thấy gần toàn bộ đại tràng ngang, lách, dạ dày và mạc nối lớn chui qua cơ hoành lên khoang màng phổi bên trái.
Sau khi đưa các tạng trên trở lại ổ bụng, tổn thương cơ hoành bên trái lộ rõ là một lỗ khuyết rộng khoảng 6x8cm. Đây chính là nguyên nhân gây ra thoát vị, kết hợp với tiền sử có chấn thương, chẩn đoán trong mổ là thoát vị hoành trái do vỡ cơ hoành.
Cơ hoành vỡ được các phẫu thuật viên khâu phục hồi kín, ca mổ diễn ra trong 1 giờ 30 phút. Sau mổ, bệnh nhân ổn định, hết đau ngực, khó thở, chụp phim X.quang kiểm tra thấy phổi nở tốt, không còn hình ảnh thoát vị. Bệnh nhân được ra viện sau 6 ngày với sẹo mổ rất nhỏ của phẫu thuật nội soi.

















