Anh N (40 tuổi, Thanh Hoá) tới Bệnh viện Đặng Văn Ngữ thuộc Viện Sốt rét - Ký sinh trùng - Côn trùng Trung khám trong tình trạng đau đầu dữ dội, kèm cơn co giật, động kinh.
Người nhà cho biết, anh N đau đầu gần một năm nay, trước đây anh đau vùng trán đỉnh, ngày 1 - 2 cơn, tự mua thuốc giảm đau uống thì hết. Tuy nhiên 2 - 5 ngày anh lại xuất hiện cơn đau. Người đàn ông vẫn sinh hoạt, làm việc bình thường.
Cách đây khoảng ba tháng, cơn đau tăng dần về cường độ và thời gian. Anh N không thể ăn ngủ sinh hoạt, xuất hiện cơ động kinh, co giật. Gia đình lo lắng anh nên cho khám tại viện tâm thần, dùng thuốc nhưng không khỏi.
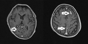
TS.BS Trần Huy Thọ, Phó giám đốc Bệnh viện Đặng Văn Ngữ cho biết, kết quả xét nghiệm ELISA của bệnh nhân dương tính với ấu trùng sán dây lợn. Chụp cộng hưởng từ sọ não thấy khối tổn thương ký sinh tại vùng não của anh N do ấu trùng sán dây lợn.
“Hiện tượng đau đầu, co giật của bệnh nhân là do bệnh ấu trùng sán dây lợn ký sinh trên não gây nên”, bác sĩ Thọ nói.
Qua điều tra dịch tễ và thói quen trong ăn uống hàng ngày, anh N nói thường xuyên ăn tiết canh lợn và nem trạo, nem thính. Bệnh nhân có thể nhiễm ấu trùng sán lợn từ các món ăn trên.

Sán làm tổ trên não do thói quen ăn tiết canh và nem trạo.
Con đường lây nhiễm của sán não
Sán não là bệnh lý thuộc nhóm nhiễm trùng hệ thần kinh trung ương, gây ảnh hưởng nghiêm trọng đến sức khỏe của người bệnh với mức độ nguy hiểm rất cao. Bệnh có thể dẫn đến tử vong nếu không được chẩn đoán và điều trị kịp thời. Bệnh phát triển âm thầm cho đến khi phát hiện những triệu chứng rõ rệt thường khá muộn.
Người bệnh sẽ có biểu hiện sốt cao, đau đầu, nôn do tăng áp lực nội sọ, có thể dẫn đến co giật, thậm chí có trường hợp liệt mặt ngoại biên (liệt thần kinh VII, liệt nửa người...).
Nguyên nhân mắc bệnh sán não là do ăn phải ấu trùng sán dây lợn hoặc ăn thịt lợn, nem hoặc thịt lợn tái, nướng chưa chín, hoặc rau sống chưa được vệ sinh sạch sẽ. Khi vào cơ thể, ấu trùng sán di chuyển theo đường máu tới não, cơ và gây bệnh.
Một số vị trí sán hay cư trú như sau:
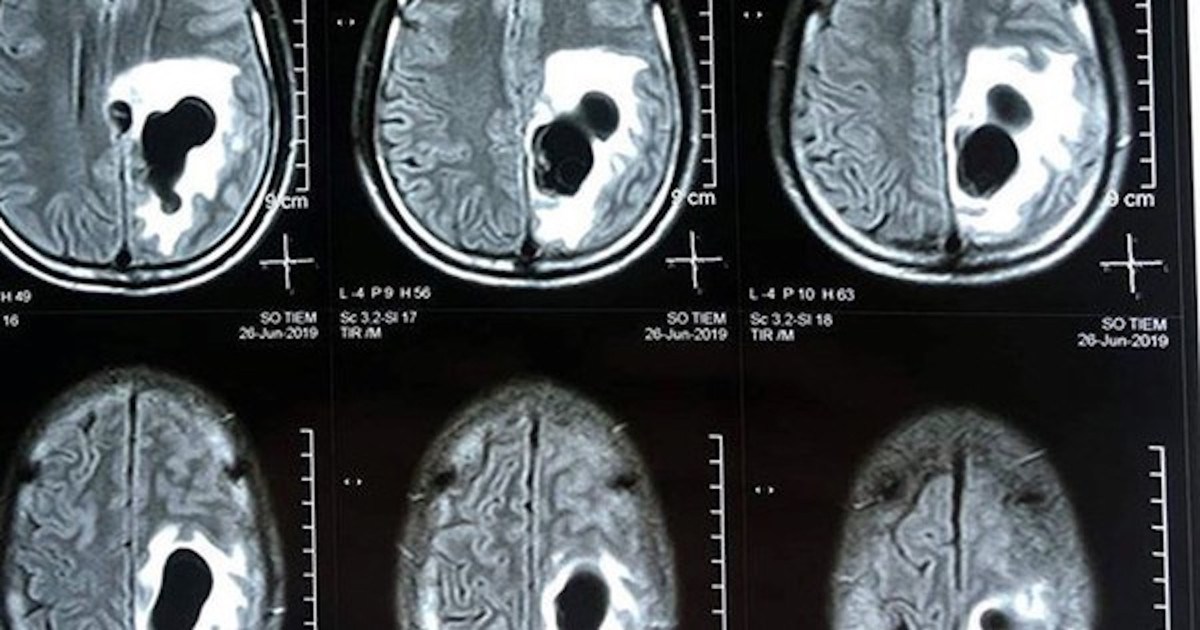
Não: Não là vị trí thường gặp nhất. Ấu trùng sán lợn cư trú trong hệ thần kinh trung ương, từ 60 - 96%. Những nang ở não gây bởi nhóm bệnh thần kinh như động kinh, tăng áp lực sọ não, viêm não, rối loạn tâm thần, viêm màng não, rối loạn chức năng thần kinh và thể phối hợp.
Các biểu hiện thường gặp: Nhức đầu 48,4%, động kinh 6,2%, rối loạn tâm thần 5,2%, rối loạn thị giác 15,6%, suy nhược cơ thể - giảm trí nhớ 28,1%, co giật cơ 34,3%.
Ở da, cơ: Thể ấu trùng dưới da và trong cơ chiếm 18,57%, chủ yếu ở cơ hoành, cơ lưỡi, cơ delta, vùng thân, vùng chi và cổ, dưới da đầu... Biểu hiện là các nang nhỏ, bằng hạt đỗ hoặc hạt dẻ nhỏ, tròn, chắc, không đau, di động trên nền sâu và lặn sâu trong cơ dưới da, màu da ở trên bình thường, bóp chặt có hiện tượng căng phồng của túi nước.
Bác sĩ Thọ tư vấn về con đường lây nhiễm và cách điều trị sán não.
Cách phòng ngừa sán não
Bệnh ấu trùng sán lợn do ăn phải thức ăn bị ô nhiễm, nhiễm trứng hoặc ấu trùng như thịt lợn gạo chưa được nấu chín kỹ. Thông thường, ấu trùng sẽ chết khi được đun sôi trong 5 phút, nếu miếng thịt dày thì cần đun lâu hơn. Để chủ động phòng bệnh, bác sĩ khuyên:
- Thực hiện ăn chín, uống chín, ăn các thức ăn được nấu chín kỹ, chế biến hợp vệ sinh.
- Không ăn tiết canh lợn, thịt lợn tái, thịt lợn chưa nấu chín; không ăn thịt lợn gạo, không ăn rau sống mà phải nấu chín kỹ mới ăn.
- Rửa tay trước khi ăn và sau khi đi vệ sinh, vệ sinh môi trường sạch sẽ, không đại tiện bừa bãi, không nuôi lợn thả rông.
- Khi bị nghi ngờ nhiễm phải đến cơ sở y tế khám, xác định và tẩy sán dây lợn sớm.
- Khi thấy đau đầu hoa mắt, chóng mặt thường xuyên hoặc co giật, bạn nên đến cơ sở y tế được khám và phát hiện điều trị bệnh kịp thời.


















Bình luận