
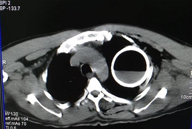
Hy hữu: Ngã cầu thang, bệnh nhân nuốt gọn chai thủy tinh
Bệnh nhân ngã cầu thang, bị một dị vật chưa xác định đâm vào vùng lõm xương đòn và mắc trong ngực, gây khó thở; sau khi chụp X quang và CT, các bác sĩ ngỡ ngàng khi thấy một vỏ chai thuỷ tinh còn nguyên vẹn trong lồng ngực bệnh nhân.


