
Vàng da tưởng sỏi mật, đi khám phát hiện cùng lúc hai ung thư
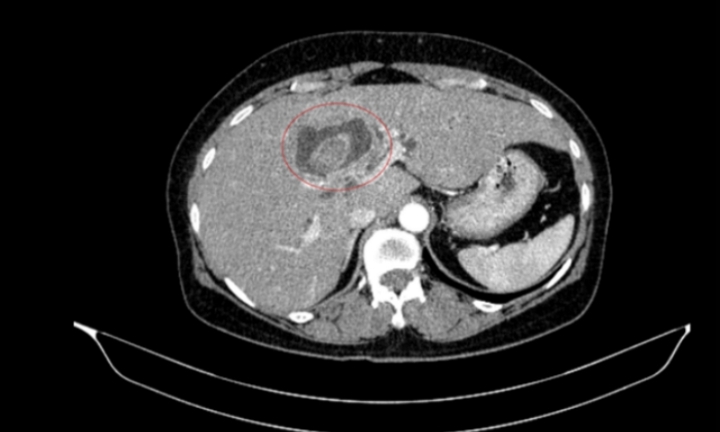
Bệnh nhân 59 tuổi nhập viện vì vàng da, ngứa kéo dài, được phát hiện đồng thời ung thư đại tràng phải và ung thư đường mật trong gan.

Bệnh nhân 59 tuổi nhập viện vì vàng da, ngứa kéo dài, được phát hiện đồng thời ung thư đại tràng phải và ung thư đường mật trong gan.

Mong muốn giúp được nhiều người phát hiện sớm tình trạng bệnh, PGS.TS Đào Việt Hằng cùng các cộng sự không ngừng nghiên cứu, đưa ứng dụng AI vào nội soi tiêu hoá.

Ứng dụng kỹ thuật nội soi hiện đại, đội ngũ y bác sĩ Bệnh viện Đa khoa Quốc tế (ĐKQT) Vinmec Đà Nẵng điều trị thành công ung thư tiêu hóa cho một cụ bà 91 tuổi.