
Gái mại dâm nuốt bao cao su để thủ tiêu bằng chứng
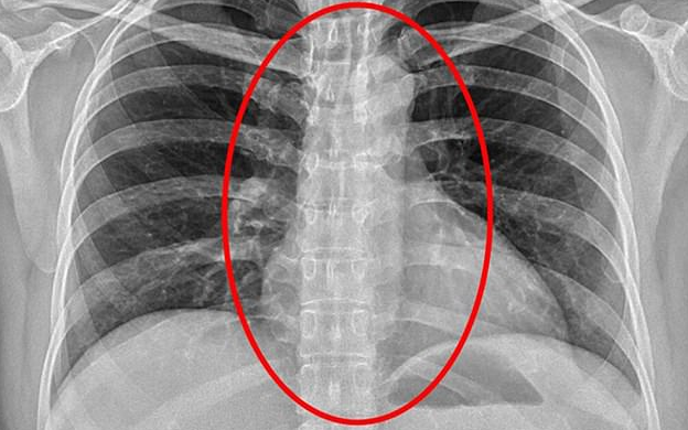
Người phụ nữ bị mất nước trầm trọng, khó thở sau khi nuốt bao cao su của khách để thủ tiêu chứng cứ khi cảnh sát ập vào kiểm ra một spa trá hình ở Đài Loan.

Người phụ nữ bị mất nước trầm trọng, khó thở sau khi nuốt bao cao su của khách để thủ tiêu chứng cứ khi cảnh sát ập vào kiểm ra một spa trá hình ở Đài Loan.