Theo Daily Mail, người phụ nữ Việt Nam họ Dang và một người đàn ông họ Dieu bị cảnh sát Đài Loan bắt giữ sau khi phát hiện hành vi mua bán dâm trong một spa ở thành phố Đài Trung.
Cảnh sát sau đó lục soát căn phòng, nhưng chỉ thu được một vỏ hộp bao cao su mà không thấy chiếc bao cao su nào trong căn phòng ở tầng 1 của spa.

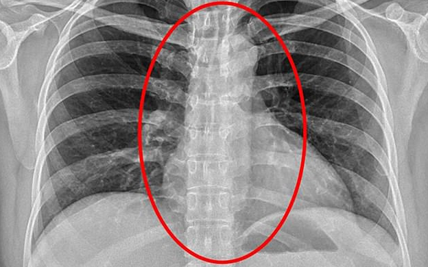
Ảnh chụp X-quang cho thấy bao cao su bị mắc kẹt trong cơ thể Đặng.
Trong quá trình thẩm vấn, Dang một mực phủ nhận cáo buộc mua bán dâm trong khi ông Dieu thừa nhận hành vi phạm pháp của mình. Tuy nhiên, khi đang lấy lời khai, sức khỏe của Dang giảm xuống rõ rệt, cô liên tục xin nước và có các biểu hiện khó thở.
Cảnh sát sau đó phải đưa Dang tới bệnh viện để chụp X-quang. Phim chụp khiến tất cả đều bất ngờ khi dị vật gây khó thở được tìm thấy bên trong cơ thể của bệnh nhân là chiếc bao cao su.
Thời lời khai của Dieu, ngay khi biết cảnh sát lục soát spa, Đặng lấy bao cao su nuốt vào bụng để thủ tiêu bằng chứng. Dang sau đó bị bắt giữ và kết án 2 tháng tù giam.












Bình luận