
Sông Tranh 2 có động đất mạnh nhất từ đầu năm đến nay
(VTC News) - Lại thêm một trận động đất mạnh 3,6 độ richter xảy ra vào sáng sớm nay tại khu vực hồ chứa thủy điện Sông Tranh 2.

(VTC News) - Lại thêm một trận động đất mạnh 3,6 độ richter xảy ra vào sáng sớm nay tại khu vực hồ chứa thủy điện Sông Tranh 2.

Đàn ông mong muốn được đánh giá cao, được tin tưởng và chăm sóc, hãy làm cho anh ấy hạnh phúc và đến gần với bạn hơn.

(VTC News)- Cử tri và nhân dân hết sức lo lắng trước thông tin 72.000 người tốt nghiệp cao đẳng, đại học, sau đại học chưa có việc làm.

(VTC News) - Bộ trưởng Kế hoạch và Đầu tư đề xuất có những biện pháp "rắn tay" đối với các phần tử quấy rối, phá hoại hoạt động của DN ở Việt Nam.

(VTC News)- Nên mừng hay nên lo không phải là điều các bậc cha mẹ cần quan tâm khi nuôi dạy con trong thời đại công nghệ.

(VTC News) - Nhiều độc giả bày tỏ sự lo lắng của mình trước dự thảo tinh giản 100.000 biên chế mà Bộ Nội vụ đưa ra.

(VTC News) - Chi Cục Quản lý thị trường tỉnh Quảng Nam cho biết đã có kết quả xét nghiệm chất lạ trong phích nước Trung Quốc.

Nhiều người dân Quảng Bình bỏ dở việc đồng áng để tranh thủ vào rừng thử vận may của mình sau khi có tin đồn một thợ rừng trúng trầm trăm tỷ đồng.

Hầu hết quý ông đều cố giấu những nỗi sợ này, ngay cả khi đang "hành sự".

Đến thời điểm hiện nay, các cơ quan chức năng tỉnh Phú Yên vẫn chưa nhận được mẫu về sinh vật lạ trong quần áo may sẵn.

(VTC News) - Theo thông tin từ Viện Huyết học – Truyền máu T.Ư, năm nay, tình trạng thiếu máu do thiếu nguồn người hiến máu sẽ xảy ra do Tết kéo dài.

(VTC News) - Hơn một tháng nữa mới đến Tết nguyên đán Quý Tị 2012 nhưng vườn quất ở khu vực Hà Nội quả đã chín vàng khiến người nông dân lo lắng.

Không ít sinh viên tại TPHCM đang lo rơi vào cảnh khó về nhà vì kiếm một tấm vé tàu xe không hề dễ.

Sống như thế nào là lựa chọn của mỗi người nhưng hãy nghĩ nếu chúng ta sống vô ích, vô tâm, thấy mỗi ngày trôi qua đều quá dài thì liệu có khác 'ngày tận thế'?

Bộ Y tế quyết định vào cuộc kiểm tra chất lượng lô vắc xin tiêm cho 3 cháu bé tử vong tại Nghệ An.

Gần đây, Cục Quản lý dược liên tục có văn bản gửi đến các sở y tế đề nghị thu hồi các loại vắc xin với lý do đưa ra là sản phẩm không đạt tiêu chuẩn.

(VTC News) –Các bậc cha mẹ không khỏi lo lắng và đặt câu hỏi tại sao sau khi tiêm vắc xin phòng bệnh, có cháu đã bị sốc, tử vong?

(VTC News) – Sáng 1/11, Chi Cục Quản lý thị trường Đà Nẵng cho hay, dự kiến tuần sau sẽ có kết quả kiểm nghiệm chất lạ trong áo nịt ngực Trung Quốc.

Tuy đi học xa nhà, nhưng các bạn sinh viên quê ở miền Trung nắng gió mưa nhiều vẫn không khỏi nhói lòng mỗi khi nghe tin bão về.

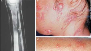
(VTC News) - Chỉ vì nghi ngờ học sinh mang trong mình mầm móng bệnh tật, một trường học đã đưa ra quyết định buộc phụ huynh phải chuyển trường cho con họ.

(VTC News) - Lúc đầu cậu bé có vẻ nhăn mặt mỗi lần nhấp một ngụm cocktail chứa rượu nhưng một lúc sau, cậu bé dường như bị mê hoặc.

(VTC News) – Nhiều bậc phụ huynh lo lắng về việc con gái mình trưởng thành quá sớm và có thể nếm trái cấm từ lúc họ chưa ngờ tới.

(VTC News) – Điều lo lắng của Quốc Trung thành sự thật khi ở vòng nhà hát được phát sóng tối qua (6/9), Ya Suy đã mất vẻ hồn nhiên khi hát với piano được nghệ

“Amip ăn não người” có thể tồn tại trong môi trường nước ngọt như hồ bơi. Điều này khiến nhiều người lo ngại.

Thông tin bệnh lạ giống HIV/AIDS xuất hiện tại Việt Nam và một số ca từng điều trị tại TP HCM vừa bị Sở Y tế thành phố phủ nhận.

(VTC News) - Cậu bé Joseph Middlemass 2 tuổi đã dũng cảm chiến đấu với khối u não.

(VTC News) – Không thể gọi gạo ủ là gạo mốc được vì loại gạo này là gạo được sản xuất, bảo quản theo tập quán của đồng bào H’re.

(VTC News) – Bệnh đã diễn biến phức tạp, danh sách người chết ngày càng dài thêm khiến dân làng "bệnh lạ" ở Quảng Ngãi hết sức lo lắng.

(VTC News) - Bộ GD&ĐT công bố, kỳ thi tốt nghiệp THPT năm 2012 sẽ được tổ chức vào 3 ngày bắt đầu từ ngày 2 đến 4.6.

Phải chăng, những đối tượng xã hội đen đã dám "qua mặt" công an dụ dỗ con em của những gia đình khá giả vào con đường nghiện ngập để làm "nô lệ" cho chúng?