
Bác sỹ trắng đêm chỉnh cột sống hình con rắn cho bé gái 13 tuổi
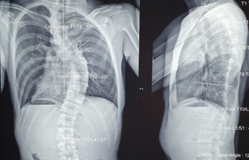
Cột sống cong vẹo hình con rắn khiến bé gái 13 tuổi đi lại, sinh hoạt khó khăn được các bác sỹ BV Bạch Mai (Hà Nội) nắn chỉnh thành công trong ca mổ xuyên đêm.

Cột sống cong vẹo hình con rắn khiến bé gái 13 tuổi đi lại, sinh hoạt khó khăn được các bác sỹ BV Bạch Mai (Hà Nội) nắn chỉnh thành công trong ca mổ xuyên đêm.

Hiện nay, những ca trẻ bị gù, vẹo, cong cột sống mức độ nặng đến điều trị ngày càng gia tăng, đây là tình trạng đáng báo động.

Hiện nay, do lối sống thay đổi, rất nhiều bạn trẻ gặp các vấn đề khác nhau về cột sống, trong đó cong vẹo cột sống là một chứng bệnh phổ biến cần phải phòng ngừa.

Trong chương trình Lần đầu làm mẹ trên đây, bác sĩ Cao Mạnh Liệu - Khoa Chấn thương chỉnh hình, BV Việt Pháp - sẽ tư vấn thông tin hữu ích về bệnh cong vẹo cột