
Bắt đầu ứng dụng AI để sàng lọc, tiên lượng điều trị COVID-19 tại Việt Nam
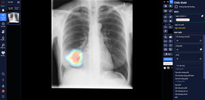
DrAid vừa được Hội đồng Khoa học Bộ Y tế nghiệm thu và đặc biệt kiến nghị nên sớm đưa vào sử dụng hàng ngày tại các bệnh viện trong giai đoạn COVID-19 hiện nay.

DrAid vừa được Hội đồng Khoa học Bộ Y tế nghiệm thu và đặc biệt kiến nghị nên sớm đưa vào sử dụng hàng ngày tại các bệnh viện trong giai đoạn COVID-19 hiện nay.

Chỉ với một giọt máu, thiết bị của tập đoàn điện tử Toshiba có thể chẩn đoán 13 loại ung thư khác nhau với mức độ chính xác 99%.

Giám đốc Bệnh viện Đa khoa huyện Lộc Hà cho rằng, giấy ra viện của ông Trương ghi rõ chẩn đoán: "Tăng huyết áp có sẵn chưa xác định rõ gây biến chứng cho thai nghén, khi đẻ và sau khi đẻ…" là do nhân viên áp mã bệnh sai.

(VTCNews) - Con gái tôi năm nay mới bảy tuổi nhưng đã có những dấu hiệu giống như một thiếu nữ, ngực phát triển lớn hơn so với những trẻ cùng trang lứa.