
Cái kết đắng với thanh niên 18 tuổi uống rượu say, ngã đập ngực tràn dịch phổi
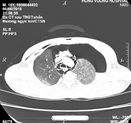
Chàng thanh niên 18 tuổi nguy kịch sau tai nạn giao thông, tràn khí màng phổi nặng, tràn khí dưới da vùng mặt cổ, gãy xương đòn phải, gãy đa xương sườn.

Chàng thanh niên 18 tuổi nguy kịch sau tai nạn giao thông, tràn khí màng phổi nặng, tràn khí dưới da vùng mặt cổ, gãy xương đòn phải, gãy đa xương sườn.

Hơn 3 tiếng đồng hồ, các bác sĩ mới gắp được 80% dị vật nhỏ găm vào vùng hàm mặt của nam bệnh nhân 43 tuổi.