
Đi bộ thể dục từ 5 giờ sáng, người đàn ông bị nhồi máu cơ tim cấp
Dậy sớm để rèn luyện sức khoẻ, người đàn ông đột nhiên thấy khó chịu trong người, đau ngực, mệt mỏi và phải nhập viện ngay sau đó.

Dậy sớm để rèn luyện sức khoẻ, người đàn ông đột nhiên thấy khó chịu trong người, đau ngực, mệt mỏi và phải nhập viện ngay sau đó.

Hệ thống xạ trị, xạ phẫu dưới hướng dẫn hình ảnh thời gian thực tiên tiến nhất trên thế giới, được Bệnh viện Trung ương Quân đội 108 trang bị.

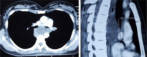
Bệnh viện Trung ương Quân đội 108 vừa cấp cứu thành công một bệnh nhân bị kén phế quản khá hiếm.

Clip ghi lại toàn bộ quá trình điều trị cột sống, trả lại dáng cho người đàn ông 38 tuổi lọm khọm như cụ ông 83 của các bác sĩ Bệnh viện Trung ương Quân đội 108.

Bệnh viện Trung ương Quân đội (TWQĐ) 108 cứu sống một bệnh nhân ngộ độc thuốc diệt cỏ Paraquat.

Mỗi ngày uống nửa lít rượu, người đàn ông nhập viện trong tình trạng ngộ độc rượu, viêm phổi nặng do trào ngược thức ăn vào phổi.

Lợi dụng lòng tin của người bệnh và sự dễ dãi trên các trang mạng xã hội, không ít cá nhân tự cho mình là bác sĩ làm việc tại Bệnh viện Trung ương Quân đội 108 dưới các mác là “bác sĩ thẩm mỹ” đi lừa đảo.

Bệnh viện Trung ương Quân đội 108 vừa cứu sống người đàn ông dập phổi, gẫy nhiều xương sườn... do rơi tự do cùng thang máy xây dựng.

Biến chứng của bệnh quai bị, nữ bác sĩ trẻ điếc hoàn toàn 2 bên tai, cuộc sống như sụp đổ hoàn toàn trước mắt chị.

Bắt đầu đưa bệnh viện mới vào hoạt động từ giữa tháng 6, đến nay Bệnh viện Trung ương Quân đội 108 quyết định đưa âm nhạc vào trong chương trình phục vụ cho người bệnh.

Quá vui mừng sau chiến thắng của đội tuyển Việt Nam, nam thanh niên lao xe ra đường trong đêm để cổ vũ rồi bị tai nạn, dẫn tới tụ máu ngoài màng cứng thái dương, vỡ lún xương hàm rất nguy kịch.

Bệnh viện Trung ương Quân đội 108 chỉ định cho cụ ông 85 tuổi đi siêu âm Doppler thai nhi gây xôn xao dư luận.

Sự phối hợp giữa Bệnh viện Trung ương Quân đội 108 và Bệnh viện Việt Đức hồi sinh sự sống 3 bệnh nhân mắc bệnh tim và thận bằng việc ghép thành công trái tim và thận từ nguồn tạng của người chết não hiến tặng.

Trung tướng Nguyễn Thế Khánh, nguyên Giám đốc Bệnh viện Trung ương Quân đội 108, người chăm sóc sức khỏe cho Bác Hồ đã về cõi vĩnh hằng.