Chiều 28/9, theo tin từ Bệnh viện Bạch Mai, tại đây vừa tiếp nhận và xử trí cho trường hợp người phụ nữ 69 tuổi bị thủng tử cung do tiền sử đặt dụng cụ tránh thai suốt 30 năm.
Người phụ nữ đã đặt vòng tránh thai 30 năm. Gần đây, bà thấy ra dịch nhầy hồng âm đạo nên tới bệnh viện để tháo nhưng thất bại. Sau 4 ngày, người này đau hạ vị liên tục kèm nôn, ra dịch máu âm đạo, không trung tiện được, không sốt.

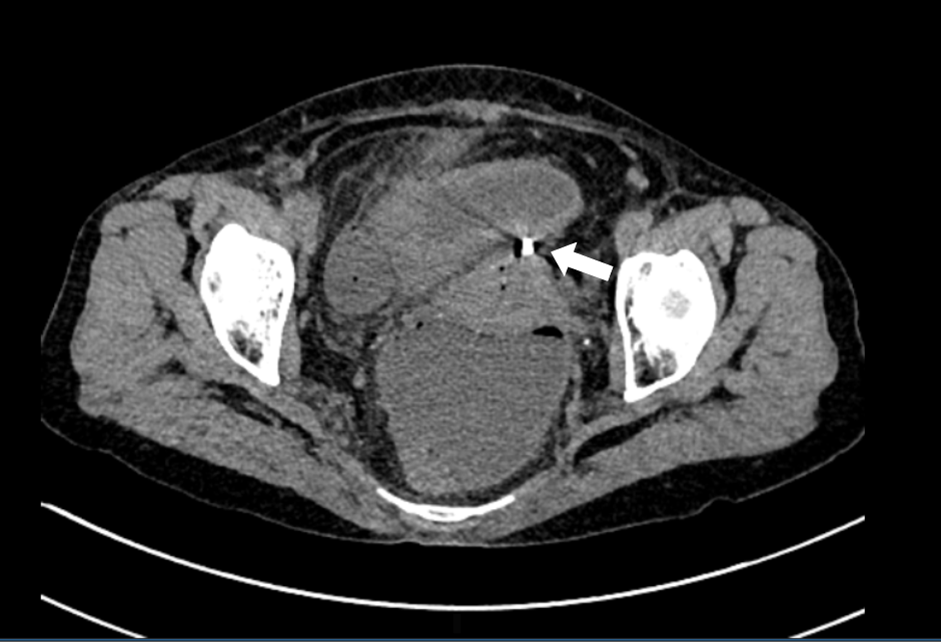
Hình ảnh chụp cắt lớp vi tính cho thấy dụng cụ tử cung xuyên qua thành tử cung vào ruột (mũi tên trắng).
Tại bệnh viện, bệnh nhân được chỉ định siêu âm ổ bụng, chụp cắt lớp. Kết quả, hình ảnh dịch khí tự do trong ổ bụng, tắc ruột cơ năng, dày thành ruột vị trí hố chậu phải và có dị vật đâm xuyên thủng đáy tử cung.
Các bác sĩ lập tức mổ mở cấp cứu, cắt tử cung bán phần, khâu lỗ thủng ruột non và rửa sạch ổ bụng. Dị vật được xác định chính là vòng tránh thai mà bệnh nhân đã đặt. Sau mổ 6 ngày, bệnh nhân phải mổ lại lần thứ hai để đưa hai đầu ruột non ra ngoài tạm thời do bục lỗ khâu ruột non.
Bác sĩ Triệu Văn Trường, khoa Ngoại tổng hợp, Bệnh viện Bạch Mai cho biết, thủng tử cung do dụng cụ tử cung (vòng tránh thai) là biến chứng không phổ biến nên nhiều khi khó chẩn đoán. Dấu hiệu thủng tử cung chỉ có thể được phát hiện khi theo dõi định kỳ hoặc mang thai ngoài ý muốn.
Bác sĩ khuyến cáo, phụ nữ đã mãn kinh nên lấy vòng tránh thai ra khỏi cơ thể để phòng tránh các biến chứng. Các can thiệp thông thường có thể khiến vòng tránh thai bị vỡ, thủng thành tử cung và gây tổn thương các cơ quan xung quanh.
Trong trường hợp không thể loại bỏ dụng cụ tránh thai bằng thủ thuật thì nên theo dõi lâm sàng chặt chẽ, nội soi buồng tử cung hoặc cắt tử cung chủ động.



































