Người phụ nữ 50 tuổi, sống tại Hà Nội đi khám sức khỏe định kỳ tại công ty thì được bác sĩ nghi ngờ có khối bất thường tại gan phải. Lo lắng, chị tiếp tục đến Phòng khám Đa khoa Medlatec Tây Hồ kiểm tra lại.
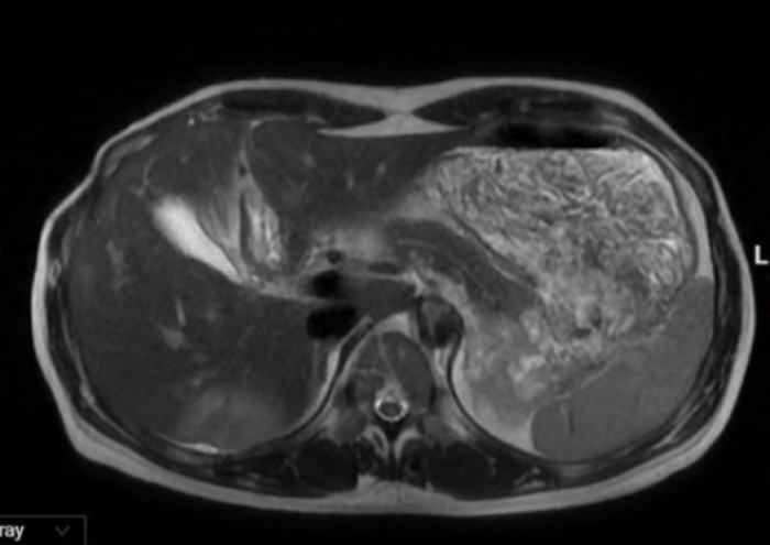
Kết quả siêu âm và chụp cộng hưởng từ (MRI) cho thấy, gan phải có hai tổn thương, kích thước lần lượt khoảng 4,5 cm và 1 cm, nghi do ký sinh trùng gây ra.
Dù hoàn toàn khỏe mạnh, không có triệu chứng bất thường, nhưng người phụ nữ lại có những thói quen tiềm ẩn nhiều nguy cơ như ăn rau sống, tiêu thụ thực phẩm chưa nấu chín và thường xuyên tiếp xúc gần với chó, mèo trong nhà.

2 tổn thương trên gan phải được trên hình ảnh chụp MRI ổ bụng. (Ảnh: BVCC)
Xét nghiệm máu sau đó cho thấy chị dương tính với kháng thể giun đũa chó mèo – loại ký sinh trùng có thể tồn tại trong nội tạng động vật, lây sang người qua đường ăn uống hoặc tiếp xúc.
Thạc sĩ, bác sĩ nội trú Đặng Thị Tâm – chuyên khoa Nội, Phòng khám Medlatec Tây Hồ cho biết, nhiều trường hợp nhiễm ký sinh trùng không có triệu chứng rõ ràng, chỉ được phát hiện tình cờ khi đi khám sức khỏe.
Ký sinh trùng có thể tồn tại trong các loại thực phẩm sống như thịt bò, cá, cua, rau chưa rửa sạch hoặc nấu chưa chín. Chúng cũng có thể lây qua thói quen vệ sinh kém, hoặc khi con người tiếp xúc với phân động vật, đặc biệt là chó mèo.
Ký sinh trùng có thể gây ra nhiều triệu chứng mơ hồ như mệt mỏi, sốt, thiếu máu, sụt cân, nổi mẩn ngứa, rối loạn tiêu hóa hoặc thậm chí ảnh hưởng đến hô hấp và thần kinh. Vì vậy, nhiều người dễ nhầm lẫn với các bệnh thông thường khác và bỏ qua dấu hiệu ban đầu.
Để phát hiện bệnh, người dân cần thực hiện xét nghiệm máu, phân, đờm kết hợp các kỹ thuật hình ảnh như CT, MRI. Việc chủ động thăm khám định kỳ là cách tốt nhất để phát hiện sớm các bất thường, tránh biến chứng nguy hiểm.
Ngoài ra, mỗi người cần nâng cao ý thức vệ sinh cá nhân, ăn chín uống sôi, không ăn đồ tái sống, tránh tiếp xúc với vật nuôi nếu chưa được kiểm soát giun sán. Không nên sử dụng phân tươi bón cây, đồng thời duy trì thói quen tẩy giun định kỳ để giảm nguy cơ nhiễm ký sinh trùng.


















Bình luận