Bệnh viện Đa khoa tỉnh Tuyên Quang vừa cấp cứu bệnh nhân T.T.N., trú tại Tuyên Quang nuốt phải xương cá. Trước đó một tuần, người này bị hành hạ bởi những cơn đau bụng âm ỉ, bí trung tiện và đại tiện.
Qua thăm khám và làm các xét nghiệm, bác sĩ chẩn đoán bệnh nhân bị tắc ruột hoàn toàn, phải phẫu thuật cấp cứu gấp để bảo toàn tính mạng.
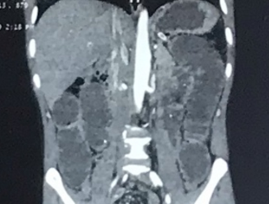
Quá trình mổ kiểm tra thấy ruột non của bệnh nhân bị dãn to, có khối bã thức ăn dài khoảng 15cm, có nhiều xương cá nhỏ găm từ giữa ruột vào thành ruột, gây tắc hoàn toàn lòng ruột.
Để xử lý, các bác sĩ mở thành ruột lấy hết bã thức ăn, khâu đóng thành ruột và ổ bụng. Hiện tại, sau mổ 1 ngày, bệnh nhân ổn định, tiếp tục được điều trị tại khoa Ngoại Tổng hợp của bệnh viện.

Hình ảnh phim chụp đoạn ruột bị tắc của bệnh nhân. (Ảnh: BVCC)
Theo các bác sĩ, trong y khoa, tắc ruột được phân làm hai loại là tắc hoàn toàn và tắc không hoàn toàn. Nếu bệnh nhân bị tắc ruột hoàn toàn thì bắt buộc phải phẫu thuật cấp cứu ngay để giải phóng nơi bị tắc càng sớm càng tốt.
Nếu tắc không hoàn toàn, trong một số trường hợp sự lưu thông trong ruột có thể tự thông thương lại được mà chưa cần phẫu thuật.
Như trường hợp bệnh nhân N. là bị tắc ruột hoàn toàn, nếu không được phẫu thuật, điều trị kịp thời, bệnh nhân có thể bị biến chứng hoại tử ruột, thủng ruột, viêm màng bụng, nhiễm trùng, nhiễm độc toàn thân dẫn đến mất mạng rất nguy hiểm.
Các bác sĩ khuyến cáo người dân khi thấy các dấu hiệu như đau quặn bụng từng cơn, đau liên tục kèm theo buồn nôn, nôn, bụng căng trướng và không trung tiện hay đại tiện được thì nên đến các cơ sở chuyên khoa để được bác sĩ thăm khám và đưa ra các phương pháp điều trị thích hợp.













Bình luận