
46% người nghiện ở Việt Nam sử dụng ma tuý tổng hợp
Đây là con số được đưa ra trong thống kê Bộ Công an, trong đó chỉ ra rằng số người nghiện ma túy năm 2017 không những không giảm mà còn tăng cao (so với năm 2016).

Đây là con số được đưa ra trong thống kê Bộ Công an, trong đó chỉ ra rằng số người nghiện ma túy năm 2017 không những không giảm mà còn tăng cao (so với năm 2016).

Mắc quá nhiều bệnh lý phức tạp, bệnh nhân có tiên lượng xấu, có thể chết bất cứ lúc nào, các bác sĩ phải dành tới 3 ngày "kéo bệnh nhân về từ cửa tử".

Những thói quen tưởng chừng như vô hại khi còn trẻ lại phá nát sức khỏe của bạn và khiến cơ thể gặp nguy hiểm khi bước sang tuổi trung niên.

Theo chuyên gia sản khoa những đứa trẻ ra đời trong tháng 10-12 là hợp quỹ đạo phát triển của tự nhiên sẽ thông minh và mạnh khỏe hơn nhiều

Vận động để có một lá phổi khỏe - đó là tiêu chí của sự kiện Ngày hội “Chuyển động vì lá phổi khỏe mạnh" do Bệnh viện Phổi Trung ương - Chương trình Chống lao Quốc gia tổ chức sáng 24/6 tại Hà Nội.

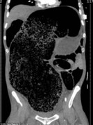
2 lít phân tích tụ trong ruột sau 3 ngày táo bón khiến người đàn ông suýt chút nữa thì mất mạng.

Ca sĩ Tuấn Hưng đột ngột tiết lộ rằng anh căng thẳng, suy sụp vì mắc bệnh vảy nến, chữa bệnh mãi không khỏi khiến nhiều người lo ngại; căn bệnh này nguy hiểm đến mức độ nào mà khiến chàng ca sĩ lo âu đến thế?

Chiều 22/6, Bệnh viện Bạch Mai họp báo thông tin về việc giành lại được sự sống cho một bệnh nhân tim ngừng đập suốt 5 ngày liền.

22 loại thuốc vừa bị rút giấy đăng ký lưu hành thuốc ra khỏi danh mục các thuốc được cấp giấy đăng ký lưu hành tại Việt Nam.

Các bác sĩ của Khoa ngoại Thần kinh phối hợp cùng chuyên gia thần kinh đến từ Bệnh viện Đại học Alabama (Mỹ) đã cứu chữa thành công cho hai em nhỏ mắc bệnh nặng tại Bệnh viện Nhi Trung ương.

Việc có một chú cún trong gia đình thì có ích lợi gì cho sức khỏe?

Dùng tai nghe liên lục, kéo dài trong nhiều giờ với âm lượng cao có thể dẫn đến viêm, điếc đột ngột.

Với thời lượng giấc ngủ khác nhau, cơ thể cũng bị ảnh hưởng theo nhiều chiều hướng khác nhau.

Việc không đi đại tiện được khiến cụ ông phải mổ cấp cứu, cắt bỏ 1 m ruột bị hoại tử.

Hiện, người Việt Nam tiêu thụ gần 5 tỷ lít nước ngọt mỗi năm, tăng 7 lần trong 15 năm qua, gây nguy cơ gia tăng bệnh thừa cân, béo phì, tiểu đường, tăng huyết áp và tim mạch.

Dựa vào những công dụng tuyệt vời của sữa non, các nhà sản xuất cho ra đời nhiều sản phẩm mới được quảng cáo có công thức tương tự.

Theo kết luận của Hội đồng chuyên môn, do biến chứng xảy ra trong lúc thực hiện thủ thuật nội soi, người bệnh không may thiệt mạng.

Hóa ra, việc có kích cỡ vòng 1 mà nhiều chị em ao ước không hề dễ chịu như nhiều người vẫn tưởng.

Khối u ở vùng cổ cối xương chậu khiến nam bệnh nhân bị đau khớp háng trái, tình trạng bệnh nặng hơn qua nhiều ngày khiến anh không chủ động đi lại được mà phải chống nạng.

Dị tật bẩm sinh khiến cô gái trẻ phải chịu đựng khối nội tạng cơ thể ở bên ngoài da tận 19 năm.

Một cậu bé người Hy Lạp bị tổn thương vĩnh viễn ở mắt trái do chiếu đèn laser vào mắt.

Trong quá trình điều trị, bác sĩ Thành gặp nhiều phụ nữ mang bầu bị biến chứng nặng do đắp là vào bộ phận sinh dục để chữa sùi mào gà.

Thấy bé trai 2 tuổi bị nốt mẩn đỏ trên người, gia đình lấy lá thuốc các loại tắm cho bé khiến trẻ bệnh nặng hơn...

Một khối u quái có tới hai chiếc răng cả tóc và xương không biết vì lý do gì mọc trong buồng trứng bé gái...

Theo bác sĩ chuyên khoa tâm thần, cơ thể bị mất ngủ triền miên có thể làm khởi phát bệnh lý rối loạn tâm thần tiềm tàng sẵn có.

Rơi xuống bể cá của gia đình, bệnh nhi 3 tuổi bị viêm phổi do sặc nước trong bể, nguồn nước bẩn có rất nhiều vi khuẩn.

Theo GS.TS.BS Trần Bình Giang, Giám đốc Bệnh viện Việt Đức, việc có một tổ chức bắt cóc người để buôn bán nội tạng là hoàn toàn phi lý.

Thương mẹ, bé trai ngồi băm rau bằng máy thái chuối, không may trượt tay nên bị máy nghiến vào tay trái đứt lìa.

Chúng ta luôn biết nước cam là thức uống rất tốt cho cơ thể, thế nhưng không phải ai cũng biết nước cam chỉ phát huy tác dụng tốt nhất nếu được đông lạnh và rã đông trước khi dùng.

Đó là lời chia sẻ đầy xúc động của GS.TS Trần Bình Giang, Giám đốc Bệnh viện Việt Đức, trong buổi họp thông tin báo chí về 4 bệnh nhân chết não hiến 16 mô tạng cứu người sáng ngày 20/6 tại Hà Nội.