Câu chuyện hy hữu này xảy ra ở Úc, khi giới y khoa nước này tiết lộ thông tin họ cứu một bệnh nhân thoát khỏi cái chết cận kề vì bị táo bón 3 ngày. Nam bệnh nhân giấu tên này năm nay 57 tuổi, điều trị tại Bệnh viện Footscray, và ca bệnh của ông được nhóm bác sĩ ghi lại trong chuyên trang về y tế là BMJ Case Report.
Theo báo cáo của bệnh viện, người đàn ông này nhập viện điều trị trong tình trạng đau dạ dày dữ dội, buồn nôn và táo bón. Ông nói với các nhân viên y tế cấp cứu rằng ông bị táo bón 3 ngày nay, và chân phải của ông đã bị liệt khoảng 24 tiếng.

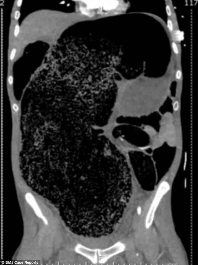
Hình ảnh chụp cho thấy số phân khổng lồ tích trong ruột bệnh nhân (Ảnh: Daily Mail)
Sau khi làm các xét nghiệm cần thiết và phát hiện khối lượng phân khổng lồ tích tụ trong đại tràng, các bác sĩ thực hiện thụt tháo hết số phân tắc nghẽn ra khỏi cơ thể bệnh nhân.
Theo chẩn đoán của các bác sĩ, khối lượng phân lớn tích tụ trong cơ thể này là nguyên nhân chính dẫn tới tình trạng đau đớn của bệnh nhân, bởi nó chèn ép các nội tạng xung quanh của người đàn ông như tăng áp lực lên dạ dày, làm tắc các mạch máu lưu thông xuống chân, làm tổn thương thận.
Đồng thời, vì lượng phân rắn tích quá nhiều, người đàn ông bị táo bón nặng. Phân không được thải ra ngoài, ngày qua ngày cứ tích tụ dần trong khoang bụng của bệnh nhân.
Một bác sĩ cho biết, sự tích tụ phân trong cơ thể nguy hiểm hơn chúng ta tưởng. Nó gây ra các chứng như sưng trực tràng, mất cảm giác trong và ngoài hậu môn, ruột không điều tiết, chảy máu từ hậu môn, sa trực tràng (hội chứng này cũng có thể xảy ra ở những người bị táo bón mãn tính)
Để điều trị táo bón, các bác sĩ phải sử dụng tới thuốc nhuận tràng ở dạng uống hoặc thuốc đặt ở hậu môn hoặc dạng thuốc nhỏ (nơi thuốc ở dạng lỏng được tiêm qua hậu môn của bạn).
Sau khi lượng phân được lấy ra, máu có thể lưu thông xuống chân của bệnh nhân và người đàn ông này có thể cử động trở lại. Tuy nhiên, bệnh nhân này còn mắc thêm chứng rối loạn chức năng đa cơ quan và rối loạn chuyển hóa.
Điều trị ở bệnh viện khoảng 4 ngày, người đàn ông này được cho xuất viện. Nhưng anh ta cũng phải mất tới 13 ngày tập luyện mới có thể đi lại bình thường. Để chữa trị dứt điểm chứng táo bón, họ cũng kê cho người đàn ông một số loại thuốc nhuận tràng để tránh trường hợp tương tự tái diễn thêm một lần nữa.
Video: Suýt chết vì thói quen cắn móng tay













Bình luận