Bệnh nhân là bà Ngô Kim Th. (67 tuổi, sống tại tỉnh Tây Ninh) nhập viện tại Bệnh viện Nhân dân 115 vào ngày 28/8 với chẩn đoán bị ung thư gan. Bệnh nhân được phát hiện có một khối u khá lớn với kích thước 6x7 cm, nằm sát màng phổi.
BS.CK2 Trương Thị Ái Phương - Phó trưởng khoa Nội tiêu hóa - Bệnh viện Nhân dân 115 cho biết: thường, đốt u gan được chỉ định trong trường hợp một khối u nhỏ hơn 5cm hoặc ba khối u nhỏ hơn 3cm.

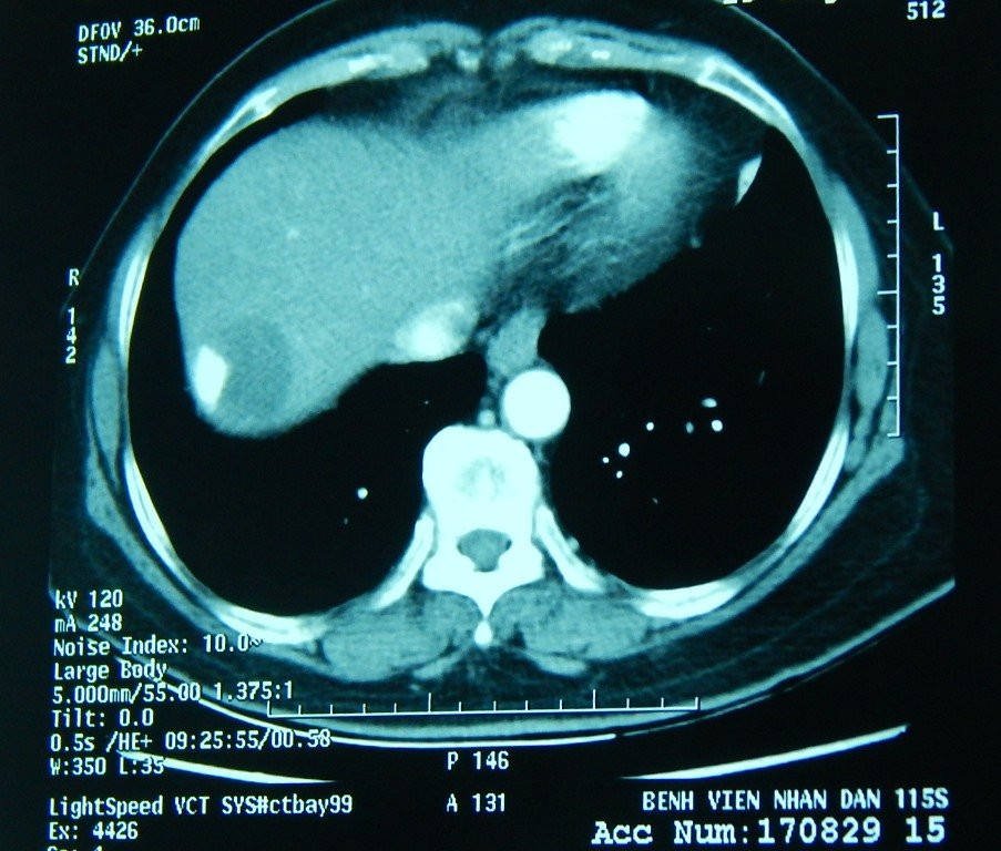
Vị trí khối u gan của bệnh nhân Ngô Kim Th. được thể hiện qua phim X-quang
Vì thế, những trường hợp như thế này thường được chống chỉ định. Đối với những trường hợp u gan lớn như thế này, nếu không can thiệp thì khả năng sống còn của bệnh nhân khá thấp, cộng với những biến chứng gây đau đớn, khó chịu cho bệnh nhân.
“Đối với những bệnh nhân có khối u lớn như thế này thì tiên lượng sẽ sống thêm được khoảng 3 tháng. Vì thế, bệnh nhân cần phải được can thiệp kịp thời. Để làm được việc ấy, các bác sĩ khoa Nội Tiêu hóa đã tính toán và chuẩn bị kĩ lưỡng trước tiến hành đốt khối u. Nguy cơ biến chứng của trường hợp này khá cao, có thể gây chảy máu màng phổi, tràn khí, gây đau đớn cho bệnh nhân” - BS Ái Phương cho biết.
Video: Cảnh báo gia vị làm ngọt nước có khả năng gây ung thư
Thủ thuật được tiến hành trong khoảng 30 phút đồng hồ thành công tốt đẹp, 80% diện tích khối u đã được cắt bỏ. Phần u gan được tiến hành loại bỏ nhằm triệt phá nhưng không làm ảnh hưởng đến các cơ quan khác bị dính liền.
Sau đó, khối u gan còn lại được tiến hành bằng phương pháp TOCE (bơm hóa chất điều trị ung thư vào thẳng khối u). Đây là hai kĩ thuật tối ưu nhằm cứu sống bệnh nhân mà không làm ảnh hưởng đến sức khỏe hiện tại của người bệnh.
Sau phẫu thuật, tiên lượng của bệnh nhân khá tốt. Khối u được điều trị hiệu quả, làm thuyên tắc mạch nuôi khối u, không phát hiện gia tăng kích thước, các dấu hiệu đau trước đó của bệnh nhân không còn. Hiện, bệnh nhân đã được xuất viện và theo dõi, tái khám theo chỉ định của bác sĩ.
Bệnh ung thư gan ngày càng gia tăng tại Việt Nam, với các yếu tố nguy cơ như xơ gan do viêm gan mãn tính; Virus viêm gan B, C... là nguy cơ rất lớn dẫn đến xơ gan, ung thư gan. Các nguy cơ khác dẫn đến ung thư gan gồm lạm dụng bia rượu, phơi nhiễm hoá chất và tiền sử gia đình.
Ung thư gan là bệnh có thể phòng ngừa qua thói quen sinh hoạt. Người dân cần đi khám sức khỏe định kỳ hàng năm và tầm soát ung thư để có thể phát hiện và điều trị bệnh kịp thời.














Bình luận