Cột sống thẳng đứng
Anh T.V.H (26 tuổi, làm việc tại một công ty công nghệ tại TP.HCM) đến khám tại Bệnh viện Đại học Y Dược TP.HCM - Cơ sở 3 trong tình trạng đau vùng cổ vai gáy kéo dài gần 3 tháng, kèm theo mỏi vai, đau âm ỉ lan lên đầu, đặc biệt tăng khi ngồi lâu hoặc căng thẳng.
Theo lời anh H., ban đầu, cơn đau xuất hiện âm ỉ nhưng ngày càng nặng, ảnh hưởng đến giấc ngủ, khả năng tập trung và hiệu suất làm việc. Anh tự điều trị tại nhà bằng dán cao, xoa dầu, nghỉ ngơi nhưng không cải thiện.
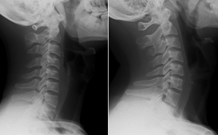
Kết quả chụp X-quang cho thấy cột sống cổ của bệnh nhân mất độ cong sinh lý, khiến các đốt sống cổ gần như xếp dọc thay vì có độ ưỡn ra trước như bình thường.

Cột sống cổ của nam thanh niên thẳng đứng (ảnh 1) và cột sống cổ bình thường (ảnh 2). (Ảnh: BSCC)
Tiến sĩ, bác sĩ Ngô Thị Kim Oanh - Phó Trưởng khoa Châm cứu - Dưỡng sinh, Bệnh viện Đại học Y Dược TP.HCM - Cơ sở 3 cho biết, ở người trưởng thành khỏe mạnh, cột sống cổ có độ cong nhẹ về phía trước - gọi là độ ưỡn sinh lý giúp phân bổ đều lực từ đầu xuống vai và thân trên, hấp thu lực chấn động từ các hoạt động thường ngày (đi, đứng, chạy...), giảm tải trọng lên đĩa đệm và khớp liên đốt sống
Khi đường cong này bị mất, cột sống trở nên “thẳng như cây gậy” làm tăng áp lực lên các đĩa đệm, khớp, dây chằng và cơ quanh cổ. Về lâu dài, điều đó có thể dẫn đến thoái hóa sớm, thoát vị đĩa đệm cổ, chèn ép rễ thần kinh hoặc tủy sống, gây ra các triệu chứng như đau, tê tay, chóng mặt, thậm chí yếu cơ.
Trường hợp của anh H. không phải hiếm. Theo bác sĩ Oanh, tư thế sai khi làm việc và sinh hoạt hằng ngày là nguyên nhân chính gây mất đường cong sinh lý cổ ở người trẻ. Thói quen này đang tồn tại ở hàng triệu người.
“Đa số bệnh nhân dưới 30 tuổi đến khám vì đau cổ vai gáy đều có chung đặc điểm: ngồi nhiều, làm việc liên tục trên máy tính, sử dụng điện thoại quá lâu trong tư thế cúi đầu, ít vận động, không có thói quen tập thể dục cho vùng cổ - vai - lưng trên”, bác sĩ Oanh nói.
Những thói quen xấu
Anh H. thường ngồi làm việc hơn 8 giờ mỗi ngày với màn hình máy tính đặt thấp hơn tầm mắt, cổ gập về phía trước, tư thế xấu kéo dài trong nhiều tháng. Ngoài ra, thói quen ngủ với gối cao và nằm nghiêng gập cổ cũng dẫn tới cột sống ảnh hưởng.
Mất đường cong sinh lý cổ không chỉ gây đau đơn thuần mà còn tiềm ẩn nhiều nguy cơ về thần kinh và cơ xương khớp, đau cổ vai gáy mạn tính, chèn ép rễ thần kinh, gây tê lan xuống tay, đau đầu, chóng mặt, rối loạn thăng bằng,
Bệnh nhân bị thoái hóa cột sống sớm, nguy cơ thoát vị đĩa đệm cổ, rối loạn giấc ngủ, suy giảm hiệu suất làm việc. Nhiều trường hợp không được điều trị kịp thời có thể tiến triển nặng, phải can thiệp phẫu thuật hoặc phục hồi chức năng dài hạn.
Bác sĩ Oanh khuyến cáo người trẻ nên tự kiểm tra tư thế làm việc: màn hình ngang tầm mắt, không cúi gập cổ lâu duy trì vận động, tập các bài kéo giãn làm mạnh nhóm cơ cổ - vai - lưng, nghỉ giải lao định kỳ, ít nhất mỗi 30-45 phút nên thay đổi tư thế. Khi đi ngủ, bạn nên chọn gối ngủ phù hợp, không quá cao hoặc cứng.















Bình luận