Theo thông tin tử Bệnh viện Nhi Trung ương, ngày 23/4, các bác sĩ Khoa Ngoại tổng hợp đã thực hiện ca mổ nội soi kéo dài 1 giờ, gắp ra từ cơ thể bé gái 3 tuổi một chiếc kim khâu dài khoảng 4 cm.
Gia đình bệnh nhi cho biết, 2 ngày trước khi nhập viện, trong lúc chơi đùa bé gái P.D.C (huyện Bình Giang, tỉnh Hải Dương) vô tình nằm đè vào chiếc kim khâu. Sau tai nạn, bé có biểu hiện đau vùng vai phải nên đã được gia đình đưa đến khám tại bệnh viện tỉnh. Tại đây, các bác sĩ bệnh viện tỉnh đã phát hiện có dị vật ở lồng ngực bên phải của bé, nghi là chiếc kim khâu. Ngay lập tức, cháu được chuyển tới Bệnh viện Nhi Trung ương.

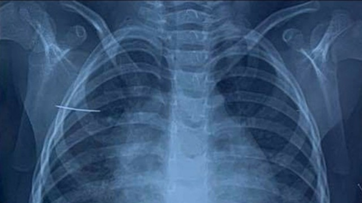
Trên phim chụp X-quang của bệnh nhi. (Ảnh:BVCC)
Tại Bệnh viện Nhi Trung ương, khi tiến hành cho bệnh nhi chụp X-quang và cắt vi tính lồng ngực, các bác sĩ phát hiện dị vật hình kim khâu nằm tại vị trí mặt trước xương bả vai. Cháu C được chỉ định phẫu thuật để lấy vị vật ra khỏi cơ thể.
Bác sĩ Nguyễn Minh Khôi, khoa Ngoại tổng hợp, người trực tiếp phẫu thuật cho bé C chia sẻ: “Trong quá trình phẫu thuật nội soi bằng 03 trocar đi vào tổ chức giữa cơ dưới vai và cơ thang, các bác sĩ phát hiện dị vật nằm lẫn trong các sợi cơ là chiếc kim khâu dài 3.8cm, đầu nhọn. Sau 1giờ, dị vật đã được lấy ra hoàn toàn, không đứt gãy”.
TS, BS Phạm Duy Hiền - Phó Giám đốc Bệnh viện Nhi Trung ương, Trưởng khoa Ngoại Tổng hợp cho biết, dị vật sắc nhọn chui vào cơ thể là một tai nạn sinh hoạt nguy hiểm nhưng khá thường gặp ở trẻ em. Phẫu thuật lấy dị vật còn là thử thách trong các trường hợp dị vật nhỏ, di chuyển và nằm lẫn trong các khối cơ sâu.
Trong trường hợp của cháu C, dị vật được các bác sĩ xác định chính xác nhờ phim chụp cắt lớp 128 dãy có dựng hình kết hợp phẫu thuật nội soi vào khoang dưới cân nông giúp giảm sang chấn, tổn thương tổ chức và thẩm mỹ sau mổ.
Sau phẫu thuật 4 tiếng, bé C đã nhanh chóng trở lại sinh hoạt bình thường.

















Bình luận