Sáng 10/6, bác sĩ Phan Hữu Chính, Phó giám đốc Bệnh viện đa khoa Khánh Hòa cho biết: Khoa Ngoại chấn thương chỉnh hình và bỏng của bệnh viện này vừa nối thành công bàn tay phải của một bệnh nhân bị đứt lìa.
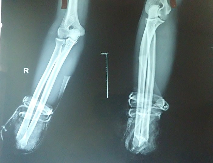
Bệnh nhân là anh N.H, 36 tuổi, ở phường Vĩnh Hải, TP.Nha Trang (Khánh Hòa), được cấp cứu đưa vào khoa ngày 8/6 trong tình trạng bàn tay bị đứt lìa khỏi cổ tay phải do ẩu đả.

Phim chụp đoạn xương không có bàn tay phải.
Kíp mổ do bác sĩ Lê Minh Hoan, Trưởng khoa, mổ chính, cùng lúc sau nhiều giờ các bác sĩ phải nối xương, gân, cơ, dây thần kinh và các vi mạch…
Đến thời điểm này các bác sĩ nhận định, cơ bản bàn tay phải đã được nối thành công, ngón tay đã cử động nhẹ, thấy rõ màu hồng và nhiệt độ bàn tay ấm dần lên. Tuy nhiên, bệnh nhân sẽ còn phải được theo dõi, điều trị tích cực nhiều ngày sau nữa.
Video: Va chạm với xe biển xanh, nam thanh niên đứt lìa chân
Cùng thời điểm, với sự giúp đỡ của các bác sĩ chuyên khoa đến từ TP.HCM, Khoa đã mổ bóc tách khối u tế bào thần kinh, nằm sau đùi trái, sát thần kinh tọa của một nữ bệnh nhân Ngô Thị Thanh Thủy, 58 tuổi, ở thị xã Ninh Hòa. Khối u khá lớn, có kích thước 8 x 10 cm.
Nhưng sau khi được bóc tách ra khỏi đùi, hiện tại bệnh nhân tỉnh táo, huyết động ổn định, vết mổ thấm băng ít, các ngón chân cử động bình thường, không tê…














Bình luận