Người bệnh cho biết bị trúng đạn vào năm 28 tuổi trong chiến tranh. Do điều kiện y tế không đảm bảo và vị trí viên đạn nằm sâu trong vùng lưng hông, bác sĩ quân y thời đó chỉ gắp ra một mảnh đầu của viên đạn, phần còn lại vẫn kẹt trong cơ thể.
Những cơn đau từ mảnh đạn bám theo ông suốt 40 năm. Đi khám nhiều nơi nhưng các bác sĩ đều cho rằng việc lấy viên đạn ra là không thể vì nó đã nằm sâu trong cơ. Ông đành chấp nhận viên đạn như một phần thân thể của mình.
Đầu tháng 11/2018, ông sốt cao, vùng hông sưng tấy và đau dữ dội. Người bệnh được đưa đến Bệnh viện Đại học Y Dược TP.HCM chữa trị.

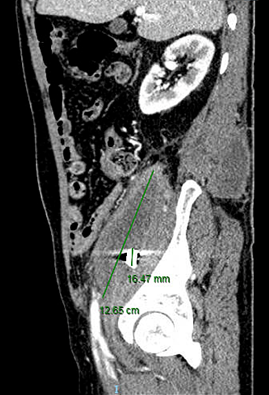
Hình ảnh mảnh đạn nằm ở vùng cơ thắt lưng chậu phải. (Ảnh: Bệnh viện cung cấp)
Qua thăm khám, bác sĩ phát hiện có một ổ áp xe to tại vùng cơ thắt lưng chậu phải và lan ra sau lưng. Sâu bên trong ghi nhận hình ảnh có một mảnh kim loại. Tình trạng bạch cầu máu của người bệnh tăng cao, dấu hiệu nhiễm trùng nặng, bác sĩ chỉ định mổ cấp cứu.
Viên đạn nằm rất sâu trong cơ thắt lưng chậu bên phải nên khả năng lấy ra rất khó. Nhưng nếu chỉ xử lý ổ áp xe mà không lấy mảnh đạn thì chắc chắn ổ nhiễm trùng sẽ tái phát", bác sĩ Lê Châu Hoàng Quốc Chương, Khoa Ngoại Tiêu hóa Bệnh viện Đại học Y dược TP.HCM, người phẫu thuật trực tiếp cho bệnh nhân, đánh giá.
Sau khi rạch phá rộng ổ áp xe, các bác sĩ đã lấy ra hơn 500 ml mủ đặc. Mảnh đạn với kích thước 1x1 cm có nhiều cạnh sắc cũng được lấy ra khỏi ổ bụng của người bệnh.
Sau hai ngày phẫu thuật, người bệnh hết sốt, không còn đau lưng, ổ áp xe biến mất và tình trạng nhiễm trùng thuyên giảm. Ông xuất viện sau một tuần điều trị.

Mảnh đạn sau khi được gắp ra khỏi người bệnh. (Ảnh: Bệnh viện cung cấp)
Bác sĩ Ung Văn Việt, Khoa Ngoại Tiêu hóa, Bệnh viện Đại học Y Dược TP HCM khuyến cáo các trường hợp có dị vật trong cơ thể nên phẫu thuật lấy ra sớm, tránh biến chứng. Nếu nghi ngờ có dị vật trong người cần đến cơ sở y tế khám bệnh để chẩn đoán kịp thời.
"Dị vật khi vào trong mô mềm sẽ di chuyển do vận động hay co cơ. Chúng ở trong cơ thể có thể an toàn trong thời gian dài nhưng sẽ bộc phát nhiễm trùng bất kỳ lúc nào", bác sĩ Việt nói.















Bình luận