Tuy rằng di tật thừa ngón chân không đe dọa tới tính mạng của trẻ nhưng nó làm giảm chất lượng cuộc sống và khiến cho tâm lý trẻ bị ảnh hưởng lớn.
Theo thông tin từ Bệnh viện đa khoa Hùng Vương (Phú Thọ), ngày 21/4, bệnh viện thực hiện phẫu thuật tách bỏ ngón chân thừa cho bé H.L.L (3 tuổi, trú tại Bắc Quang, Hà Giang).

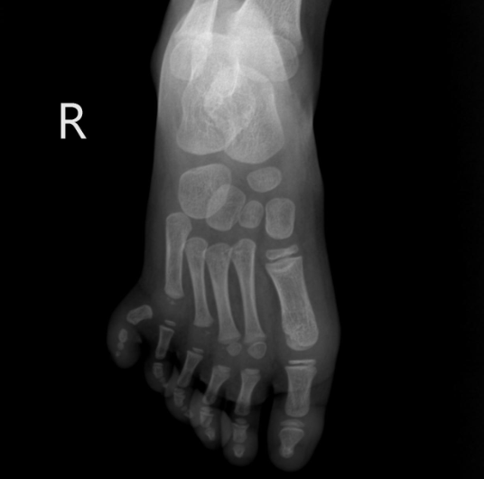
Ảnh chụp X-quang bàn chân phải của bé L. (Ảnh: BVCC)
Từ khi sinh ra, bé L. đã có một ngón thừa ở bên bàn chân phải. Cho rằng dị tật này không ảnh hưởng nhiều tới sức khỏe của L., gia đình không đưa em tới bệnh viện để kiểm tra sức khỏe. Chỉ đến khi dị tật được phát hiện và có sự tư vấn của bác sĩ, gia đình L. mới quyết định làm phẫu thuật cho em.
Thực hiện ca phẫu thuật cho bệnh nhi là bác sỹ Nguyễn Xuân Chiến, công tác tại khoa Ngoại Bệnh viện đa khoa Hùng Vương. Bé L. được chỉ định phẫu thuật bằng phương pháp cắt ngón thừa, tạo hình lại ngón năm bàn chân phải.
Sau phẫu thuật, bàn chân phải của bé L đang hồi phục khá tốt. Em sẽ được trải qua quá trình trị liệu để đi lại bình thường và cải thiện chức năng của bàn chân.
Bác sỹ Chiến cho biết: "Dị tật thừa ngón không đe dọa đến tính mạng nhưng nó làm giảm chất lượng cuộc sống và ảnh hưởng rất lớn tới tâm lý của trẻ. Ngón thừa thường có đặc điểm là nhỏ hơn, phát triển kém hơn, cấu trúc của ngón có thể chỉ là tổ chức có da bao phủ đơn thuần, có thể có móng, cũng có thể có xương và khớp như những ngón bình thường khác.
Video: Thứ trưởng Bộ Y tế: Tình trạng nhận phong bì đã đỡ nhưng vẫn còn
Phẫu thuật cắt ngón thừa là cần thiết sẽ giúp bàn chân trẻ hoạt động bình thường và không bị kỳ thị hay trêu chọc khi trẻ lớn.
Cha mẹ không nên chủ quan khi bé có những dị tật ngón ở bàn chân hay bàn tay, hãy đưa trẻ tới bệnh viện để được các Bác sỹ tư vấn cụ thể".











