Một đêm cuối tháng 7, chị K.T.N (31 tuổi, ngụ TP.HCM) vào khoa Cấp cứu Bệnh viện (BV) Hoàn Mỹ Sài Gòn trong tình trạng đau bụng dưới nhiều và có dấu hiệu nhiễm trùng. Ekip bác sĩ trực đã khám, chụp CT bụng và xác định bệnh nhân bị viêm ruột thừa.
Tuy nhiên từ lúc nhập viện, nhân viên y tế nhận thấy chị N. có nhịp tim chậm bất thường, có lúc chỉ còn 40-43 lần/phút. Huyết áp bệnh nhân thấp, có lúc tụt xuống còn 50/30 mmHg kèm theo triệu chứng chóng mặt.
Nhận định đây là trường hợp bệnh phối hợp phức tạp, cần xử trí cấp cứu nên ekip điều trị đã tổ chức hội chẩn giữa khoa Ngoại Tổng quát và chuyên khoa Tim mạch ngay trong đêm để lập kế hoạch điều trị cho người bệnh.
Khai thác bệnh sử, người bệnh cho biết trước đây có khám sức khỏe định kỳ, phát hiện rối loạn nhịp tim chậm nhưng không rõ dạng gì nên không điều trị đặc hiệu. Sau khi hội chẩn, các bác sĩ xác định chị N. bị rối loạn nhịp tim chậm block nhĩ thất độ 3.

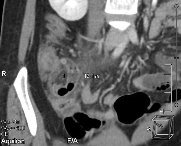
Ảnh chụp vị trí viêm ruột thừa cấp của nữ bệnh nhân.
Bệnh nhân được chỉ định đặt máy tạo nhịp tạm thời trước, sau đó sẽ phẫu thuật nội soi cắt ruột thừa. Sau 4 ngày nằm viện, sức khỏe người bệnh hồi phục rất tốt và được xuất viện.
Bác sĩ Phan Hoàng Nguyên, Trưởng khoa Cấp cứu BV Hoàn Mỹ Sài Gòn cho biết, rối loạn nhịp tim chậm block nhĩ thất độ 3 hiếm gặp ở người trẻ tuổi. Đây chính là mức độ cao nhất trong rối loạn dẫn truyền nhịp tim, dẫn đến việc tim không thể bóp đủ tần số nhằm cung cấp đủ máu đến các cơ quan khác, dễ dẫn đến ngất và đột tử.
Dấu hiệu thường thấy của bệnh này là nhịp tim rất chậm, choáng váng, chóng mặt, khó thở, đau thắt ngực và ngất xỉu mà không rõ nguyên nhân. Một số nguy cơ dẫn đến bệnh thoái hóa dẫn truyền, bẩm sinh hay do dùng thuốc… Hướng điều trị tối ưu nhất là đặt máy tạo nhịp tim.
Ekip điều trị đã lên kế hoạch theo dõi và sắp xếp để đặt máy tạo nhịp tim vĩnh viễn nhằm đảm bảo chất lượng cuộc sống cho cho chị N.
Các bác sĩ khuyên người dân cần cẩn trọng và thường xuyên kiểm tra sức khỏe tại các cơ sở y tế chất lượng để tránh những hậu quả đáng tiếc xảy ra. Với nhân viên y tế, các trường hợp bệnh phối hợp cần tổ chức hội chẩn chuyên khoa để đảm bảo điều kiện phẫu thuật cho bệnh nhân.















Bình luận