Bệnh nhân có nhóm máu hiếm mới được cứu sống là Nguyễn Thị N. (SN 1959, ở Long Biên, Hà Nội). Ngày 26/4, bệnh nhân được người nhà đưa vào với tình trạng sốc nặng, mạch nhanh nhỏ, khó thở.
Qua thăm khám và xét nghiệm, bác sĩ kết luận bệnh nhân bị đa chấn thương, sốc mất máu, suy hô hấp tràn máu, tràn khí màng phổi bên phải do vết thương thấu ngực, tình trạng rất nguy kịch. Đặc biệt, bệnh nhân có nhóm máu hiếm O Rh(-).

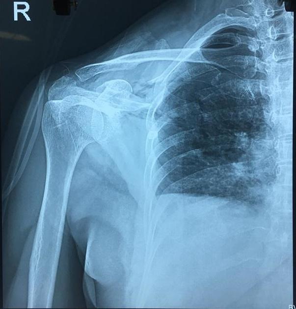
Hình chụp X-Quang tổn thương của bệnh nhân N.
Ngay lập tức, bệnh viện tổ chức hội chẩn tại chỗ và xác định cần phải can thiệp mổ cấp cứu ngay mới có thể giữ được tính mạng người bệnh. Bệnh nhân được đưa lên bàn mổ gây mê toàn thân, cùng với đó bác sĩ cũng thực hiện đánh giá, xử trí các vết thương.
Cụ thể, bệnh nhân có vết thương thấu ngực, do dao đâm từ bả vai xuyên từ sau ra trước gây tổn thương rách da 10 cm, gãy xương vai, đứt lìa ba xương sườn 4, 5, 6 gây tràn máu, tràn khí màng phổi.
Ngoài ra còn nhiều vết thương phần mềm khác như: Vết thương thành bên ngực trái 9cm không thấu ngực, vết thương cổ tay gây tổn thương gân gấp, vết thương cắt cụt đốt ngón 2,3 bàn tay, vết thương khuỷu tay lộ mỏm khuỷu…
Ca mổ cho bệnh nhân kéo dài hơn 2 tiếng, trong và sau mổ bệnh nhân được truyền 2 lít máu cùng nhóm, bệnh viện phải huy động “ngân hàng máu sống” mới có đủ máu hiếm để cứu nữ bệnh nhân này.
Sau phẫu thuật, bệnh nhân tiếp tục được an thần thở máy tại phòng hồi sức Ngoại. Sau 2 ngày người bệnh được rút ống nội khí quản, tập thở phục hồi chức năng, tình trạng bệnh nhân ổn định.
Bác sĩ Nguyễn Hoài Nam, bác sĩ điều trị cho bệnh nhân có máu hiếm trên, cho biết: "Mỗi người cần biết thông tin nhóm máu của mình tối thiểu là tên nhóm máu, Rh - hay +, để kịp thời chữa trị khi có tai nạn không mong muốn".
Video: Cố tình lấy mật của tổ ong ven đường, bị đốt hàng trăm mũi đến mê sảng














Bình luận