Bệnh viện Nhi Đồng 2 (TP.HCM) vừa xử trí thành công trường hợp bé trai 6 tuổi bị đạn súng săn bắn xuyên từ cổ đến đỉnh phổi trái.
Theo gia đình nạn nhân, cuối tháng 10/2018 anh N.T.P (quê Đắk Lắk) đi săn về bất cẩn để khẩu súng vẫn còn đạn bên trong phía trước nhà.
Lúc này, 2 con trai của anh P. (đứa 9 tuổi, đứa 6 tuổi) lấy súng nghịch nhau, vô tình người anh bóp cò, đạn bắn xuyên từ cổ vào ngực người em.

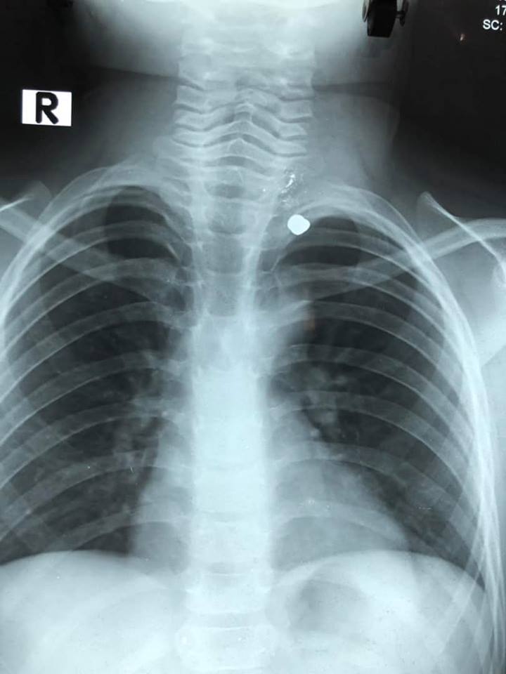
Bé trai 6 tuổi bị đạn găm vào cổ.
Lập tức nạn nhân được chuyến đến bệnh viện tỉnh sau đó chuyển đến khoa cấp cứu Bệnh viện Nhi Đồng 2.
Tại khoa cấp cứu bệnh nhân được thăm khám, chụp X Quang ngực.
May mắn đạn đi từ cổ nhưng không xuyên vào mạch máu lớn, khí quản hay tim nên sau đó bệnh nhân được đưa vào khoa ngoại tổng hợp.
Qua thăm khám, hội chẩn khoa, các bác sĩ nhận định nếu mổ mở, đi từ vùng cổ có thể rất khó khăn vì mạch máu, thần kinh vùng này rất nhiều,và vết mổ sẻ rất xấu nên ekip phẫu thuật đã quyết định phẫu nội soi lòng ngực lấy viên đạn.

Hình viên đạn nằm trong lồng ngực nạn nhân.
Ghi nhận lúc phẫu thuật, viên đạn nằm ở đỉnh phổi trái, cạnh bên động mạch dưới đòn trái, may mắn mạch máu lớn và thần kinh không bị tổn thương.
Hiện bệnh nhân đã ổn định và xuất viện.













