Sáng 23/5, các bác sĩ Bệnh viện Đa khoa tỉnh Phú Thọ cho biết đã tiếp nhận bệnh nhân nữ (18 tuổi, trú tại Việt Trì, Phú Thọ) trong tình trạng ho, sốt, đau tức ngực, khó thở.
Bệnh nhân tiền sử khỏe mạnh, khỏi COVID-19 cách đây một tháng, đã tiêm phòng 2 mũi vaccine. Sau khi vào viện, cô gái này được khám, làm xét nghiệm, các bác sĩ chẩn đoán suy hô hấp - viêm phổi nặng hậu Covid-19.
Trước đó, bệnh nhân ở nhà ho đờm, sốt cao 39 độ C, đau tức ngực 2 bên, khó thở tăng dần trong 3 ngày, không dùng thuốc gì đặc biệt. Kiểm tra tại bệnh viện, nữ bệnh nhân tỉnh, thể trạng trung bình, da niêm mạc hồng, sốt nóng, ho, đau tức ngực, khó thở, thở nhanh gắng sức, tim nhịp nhanh, phổi thông khí giảm, ran ẩm ran nổ 2 bên phổi, bụng mềm.

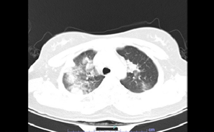
Hình ảnh chụp CT ngực của bệnh nhân khi nhập viện. (Ảnh: BVCC).
Kết quả xét nghiệm máu cho thấy nhiễm trùng tăng cao, giảm oxy hoá máu nặng. Kết quả cắt lớp vi tính lồng ngực có hình đông đặc phổi, nhiều tổn thương nốt, kính mờ viêm rải rác.
Bệnh nhân được thăm khám toàn diện chức năng các cơ quan, điều trị theo phác đồ bằng thở oxy dòng cao, kháng sinh, chống viêm, chống đông, dinh dưỡng nâng cao thể trạng. Sau 5 ngày điều trị, người này đáp ứng tốt, tình trạng nhiễm trùng, chức năng phổi, toàn trạng khá hơn. Bệnh nhân ổn định và được xuất viện sau 12 ngày điều trị.
Theo các bác sĩ, biểu hiện hậu COVID-19 thường gặp bao gồm ho, khó thở, tức ngực, rối loạn giấc ngủ, rối loạn vị giác, tăng đông máu, mệt mỏi giảm sức chịu đựng. Các biện pháp hiệu quả nhất để ngăn ngừa các tình trạng sau COVID-19 là ngăn ngừa mắc COVID-19 (ví dụ: tiêm chủng, đeo khẩu trang, vệ sinh tay).
Các biện pháp làm giảm tỷ lệ mắc hoặc mức độ nghiêm trọng của mắc COVID-19 cấp tính sẽ làm giảm tỷ lệ mắc và mức độ nghiêm trọng của tình trạng sau khi mắc bệnh. Biểu hiện hậu COVID-19 rất phong phú. Do đó, để chẩn đoán, bác sĩ cần hỏi các triệu chứng COVID-19 cấp tính và biểu hiện khi thăm khám để đưa ra yêu cầu xét nghiệm, chẩn đoán, xử trí phù hợp.

















Bình luận