Bệnh nhi P.K.L (4 tuổi, ở Phú Thọ) nhập viện trong tình trạng sưng, đau nhiều đùi chân trái, mất vận động đùi trái, bệnh nhi hoảng sợ và khóc nhiều.
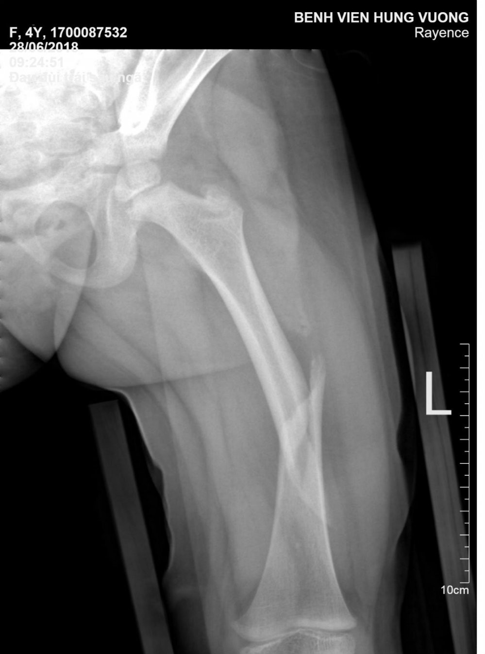
Ngay lập tức các bác sĩ cố định chân trái của bệnh nhi bằng nẹp gỗ và băng gạc vô trùng. Bệnh nhi được chỉ định làm cận lâm sàng cần thiết. Kết quả chụp XQ đùi trái cho thấy hình ảnh gãy di lệch 1/3 xương đùi trái.

Hình ảnh XQ gãy 1/3 xương đùi trái bệnh nhi L.
Theo mẹ bệnh nhi kể lại, bé bị ngã ở sân giếng khi đang chơi với chị họ, gia đình vội vàng bế bé lên và gọi người nhà đưa bé đến bệnh viện ngay. Mẹ bệnh nhi cho biết thêm, sân giếng của gia đình có mọc rêu xanh nên rất trơn.
Bác sĩ khuyến cáo, khi trẻ không may bị những tai nạn có chấn thương cần cố định vết thương bằng băng, gạc sạch và nẹp gỗ sau đó nhanh chóng đưa trẻ đến bệnh viện gần nhất để kịp thời cấp cứu.
Sơ cứu ban đầu sẽ cố định vết thương, tránh làm tổn thương trở nên nguy hiểm hơn, gây khó khăn quá trình điều trị về sau tại bệnh viện.
Ngoài ra, trẻ em khá hiếu động và không biết hết những nguy hiểm khi chơi đùa, chính vì vậy cha mẹ cần quan tâm, tạo môi trường chơi đảm bảo an toàn cho trẻ.
Video: Tiến trình thai nhi lớn lên từ khi trứng gặp tinh trùng














