Sáng 7/6, trả lời VTC News, bác sĩ Phan Văn Hùng, Phó trưởng Khoa Ngoại tổng hợp Bệnh viện Đa khoa Hà Tĩnh cho biết, đơn vị vừa phẫu thuật gắp thành công dị vật dài gần 20cm trong ngực trái anh Nguyễn Văn N. (sinh năm 1989, ở xã Kỳ Tây, huyện Kỳ Anh).
Anh N. được đưa đến cấp cứu tại đây vào chiều 30/5 trong tình trạng đau tức ngực trái, khó thở, suy hô hấp.

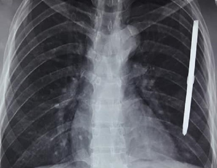
Hình ảnh chụp XQ cho thấy dị vật cắm sâu ở ngực trái của bệnh nhân.
Kết quả chụp X-quang cho thấy có dị vật trong lồng ngực. Bệnh nhân nhanh chóng được chuyển lên Khoa Ngoại tổng hợp để mổ cấp cứu, dẫn lưu màng phổi, lấy dị vật ra khỏi cơ thể.
Theo bác sỹ Hùng, dị vật là chiếc tuốc nơ vít đâm xuyên thành ngực trái, nằm trọn trong phổi sau, gần tim, có nguy cơ đe dọa tính mạng bệnh nhân nên các bác sĩ rất thận trọng khi phẫu thuật. Vật này văng lên đâm vào ngực anh N. khi anh đang cắt cỏ bằng máy.

Chiếc tuốc nơ vít dài gần 20cm được lấy ra từ lồng ngực bệnh nhân.
Hiện tại sức khỏe bệnh nhân dần ổn định, bác bác sĩ chuẩn bị cho anh ra viện.
Bác sĩ Hùng khuyến cáo, người dân khi cắt cỏ bằng máy cắt cầm tay cần có dụng cụ bảo hộ để đảm bảo an toàn, phòng trường hợp bị dị vật văng lên cắm vào người.

















