Sáng 27/6, đại diện Bệnh viện Quốc tế Nghệ An cho biết, ngày 25/6, bé gái N.T.U. (2 tuổi), trú tại huyện Nghi Lộc, Nghệ An được mẹ đưa đến cấp cứu tại trong tình trạng quấy khóc liên tục, buồn nôn.

Ảnh: Minh họa
Gia đình bệnh nhi cho biết, cháu bé đã chơi 1 chiếc ốc vít và vô tình nuốt phải.
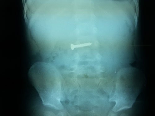
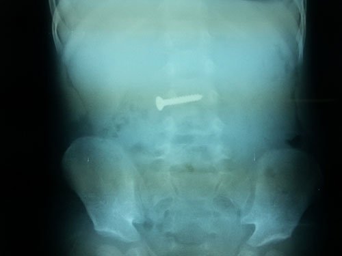
Tại bệnh viện, qua thăm khám, chụp X–quang, các bác sĩ phát hiện 1 dị vật cản quang trong dạ dày bệnh nhi. Bệnh viện tiến hành hội chẩn và quyết định nội soi gây mê để lấy dị vật ra khỏi cơ thể cháu bé.
Bác sĩ Phùng Thị Hằng cho biết: "Sau khi đặt máy chúng tôi xác định dị vật xuống sâu hơn ở D3 tá tràng so với phim X-quang. Do dị vật có bề mặt xoắn ốc lại dài 3cm so với kích thước lồng ruột của trẻ 2 tuổi nên thủ thuật tiến hành rất khó khăn.
Tuy nhiên, sau khoảng 30 phút phối hợp dị vật được lấy ra khỏi cơ thể cháu bé một cách ngoạn mục. Kết quả kiểm tra lại cho thấy, niêm mạc tá tràng, dạ dày, thực quản của cháu bé không tổn thương, không chảy máu".
Video: Bác sỹ để quên kim tiêm trong bụng sản phụ
Các bác sỹ khuyến cáo, những trường hợp nuốt phải dị vật kim loại, nhất là những dị vật có kích thước lớn rất nguy hiểm vì có thể làm thủng đường tiêu hóa gây áp xe trung thất hoặc viêm phúc mạc, việc nội soi lấy dị vật cũng rất khó khăn có thể thất bại.
>>> Đọc thêm: Bác sĩ bỏ quên gạc trong bụng bệnh nhân gần 6 năm trời














Bình luận