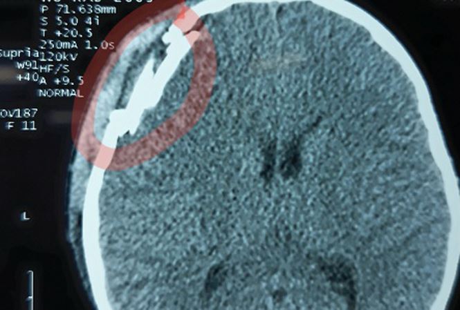
Cú đập mạnh vào đầu khiến cháu bé ngất xỉu, được người nhà đưa vào Bệnh viện Hữu nghị Việt Nam - Cu Ba Đồng Hới cấp cứu. Bé bị đau đầu, chóng mặt, buồn nôn, chảy máu mũi. Kết quả chụp phim CT scanner sọ não cho thấy bé bị chấn thương sọ não, vỡ xương sọ vùng trán phải, tụ máu ngoài màng cứng.
Các bác sĩ đã mổ cấp cứu cho bệnh nhi.
Sau mổ, bé ổn định sức khỏe và đang được theo dõi tình trạng não.
Video: Gắp con đỉa dài 15cm ngoe nguẩy trong mũi bé trai 9 tuổi














Bình luận