Ngày 14/12, Sở Y tế TP.HCM cho biết các bác sĩ ở hai bệnh viện cách xa nhau 20 km, đã chạy đua với tử thần để cứu sống bệnh nhân.
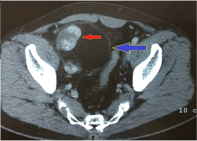
Trước đó, các bác sĩ bệnh viện quận 9, TP.HCM tiếp nhận bệnh nhân 70 tuổi bị túi phình động mạch chậu chung bên phải, được chỉ định phẫu thuật cắt nối. Tuy nhiên bệnh nhân đang trên bàn mổ thì bất ngờ diễn biến xấu, đe dọa tính mạng.
10h58 ngày 12/12, cơ sở y tế này cầu cứu các bác sĩ Bệnh viện Nhân Dân Gia Định bằng kích hoạt báo động đỏ. Họ yêu cầu hỗ trợ một bệnh nhân chảy máu không kiểm soát trong lúc mổ.

Hình ảnh CT scan của bệnh nhân được các bác sĩ xem và đánh giá ngay trong phòng mổ . (Ảnh: SYT cung cấp)
Hai bác sĩ chuyên khoa lồng ngực mạch máu, bác sĩ ngoại tổng quát (trưởng tua trực), nhân viên xét nghiệm mang theo dụng cụ mổ mạch máu cơ bản và 4 đơn vị huyết tương tươi ở tuyến trên lên xe cứu thương đi về nơi bệnh nhân cần.
Vừa đi các bác sĩ vừa hướng dẫn ê-kíp trong phòng mổ cố gắng kiểm soát lượng máu chảy.
29 phút sau, các bác sĩ Bệnh viện Nhân dân Gia Định mở rộng đường mổ để bộc lộ rõ phẫu trường, đánh giá mạch máu lớn bị tổn thương vì máu phun rất mạnh và diện rộng.
Các bác sĩ đã nhanh chóng khâu cuộn cầm máu sau khi cách ly niệu quản và ruột cho người bệnh. Trong vài phút các bác sĩ đã kiểm soát cầm máu, giải thoát tay khỏi phẫu trường, không mất máu thêm, bệnh nhân ổn định mạch đập tốt và đều hai bên.
Video: Uống nhầm nửa chai rượu, bé 5 tuổi co giật nhập viện cấp cứu











Bình luận