Ngày 25/11, Bệnh viện Đà Nẵng cho biết, 2 tháng gần đây, số ca mắc bệnh Whitmore nhập viện tăng mạnh. Cụ thể, từ ngày 1/1 đến hết tháng 9, bệnh viện chỉ tiếp nhận 4 ca bệnh Whitmore nhưng từ 1/10 đến 25/11 tiếp nhận 29 ca bệnh. Trong đó, phần lớn bệnh nhân được chuyển đến từ Quảng Nam, một số ở Nghệ An, Quảng Ngãi và Đà Nẵng.
Trong số 29 bệnh nhân, có 3 bệnh nhân nặng, được chuyển từ Khoa Y học nhiệt đới sang Khoa Hồi sức tích cực điều trị. Tuy nhiên, có 2 trường hợp chết do bệnh quá nặng (1 bệnh nhân ở Quảng Nam và 1 bệnh nhân ở Quảng Ngãi).

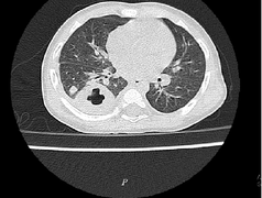
Bệnh nhân Whitmore điều trị tại Bệnh viện Đà Nẵng.
Theo bác sĩ Phạm Ngọc Hàm, Trưởng khoa Y học nhiệt đới (Bệnh viện Đà Nẵng) cho biết, bệnh Whitmore thường gặp vào mùa mưa, tập trung tháng 7 - 11 hàng năm. Thời gian ủ bệnh thường 1-21 ngày, trung bình là 9 ngày.
Mức độ nghiêm trọng của bệnh dựa vào tình trạng nhiễm trùng. Người bệnh tiểu đường, bệnh phổi mạn tính, bệnh thận mạn tính và ung thư có nguy cơ tử vong cao hơn khi nhiễm vi khuẩn này.
Bệnh cảnh lâm sàng của bệnh Whitmore đa dạng, phức tạp như sốt cơn hoặc sốt kèm theo lạnh run, sốt kéo dài, suy hô hấp, loét da, viêm đường tiết niệu, viêm phổi, áp xe phổi, áp xe ở gan, lách, nhiễm trùng huyết, suy đa phủ tạng, thường chẩn đoán nhầm với bệnh khác như viêm phổi, lao phổi, áp xe cơ…
Bác sỹ Hàm khuyến cáo, hiện chưa có vaccine phòng bệnh Whitmore nên người dân cần chủ động hạn chế tiếp xúc với tác nhân gây bệnh, bao gồm đất, nước, bùn lầy, đặc biệt là những nơi có ô nhiễm nặng. Trang bị đầy đủ giày, dép và găng tay đối với những người thường xuyên phải làm việc ngoài trời, tránh tiếp xúc trực tiếp với đất và nước nhiễm bẩn.
















Bình luận