
Ngã từ độ cao 3 mét, người đàn ông 32 tuổi tụ máu não suýt chết
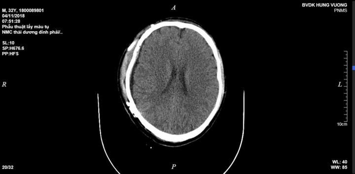
Anh N.P. (32 tuổi, ở Yên Bái) ngã lao xuống đất, tụ máu não, tính mạng khá nguy kịch, vừa được các bác sĩ cứu sống.

Anh N.P. (32 tuổi, ở Yên Bái) ngã lao xuống đất, tụ máu não, tính mạng khá nguy kịch, vừa được các bác sĩ cứu sống.