Theo thông tin từ gia đình bệnh nhân, trong quá trình làm việc anh P. ngã từ độ cao khoảng 3m xuống đất. Sau khi gặp nạn, anh đau vai, nôn ói nhiều, sưng nề vùng đầu.
Khi được đưa tới Bệnh viện Đa khoa Hùng Vương cấp cứu, các bác sĩ cho anh P. chụp CT sọ não và thấy hình ảnh tụ máu não ngoài màng cứng vùng thái dương đỉnh phải, vỡ xương đỉnh phải và vỡ xương thái dương, tình trạng rất nguy kịch.

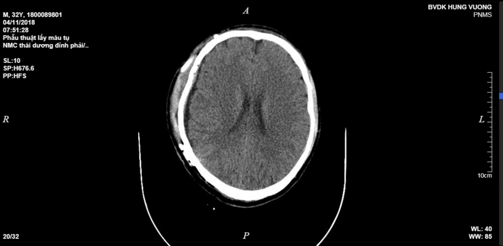
Hình ảnh sọ não bệnh nhân P. sau khi được phẫu thuật. (Ảnh: Bệnh viện cung cấp)
Là ca bệnh nặng, nếu không được phẫu thuật sớm bệnh nhân có thể phải bỏ mạng, các bác sĩ bệnh viện nhanh chóng hội chẩn chuyên khoa và cho bệnh nhân đi phẫu thuật.
Sau hơn một giờ đồng hồ cấp cứu, bệnh nhân qua cơn nguy kịch, sức khỏe tốt và có thể ra viện.
Các bác sĩ khuyến cáo, chấn thương sọ não là chấn thương đặc biệt nguy hiểm, có thể gây dập não, tụ máu não hay xuất huyết não.
Vì vậy, khi làm việc, lao động, sinh hoạt và tham gia giao thông, người dân cần trang bị đầy đủ mũ bảo hiểm và bảo hộ để tránh những chấn thương đáng tiếc có thể xảy ra.
Ngoài ra, khi không may gặp tai nạn, người nhà cần nhanh chóng đưa bệnh nhân tới bệnh viện gần nhất để được thăm khám và cấp cứu kịp thời.
Video: Đuổi theo đám cướp, người đàn ông bị đạp ngã chấn thương sọ não












Bình luận