
Cô gái mang song thai suốt 17 năm không hề hay biết
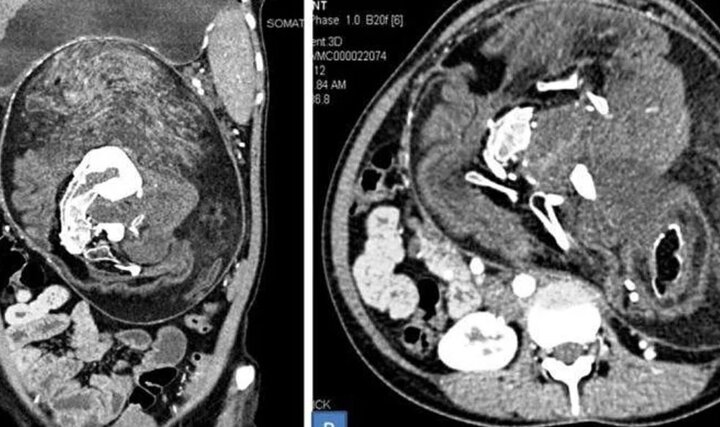
Bụng cô gái ở Ấn Độ cứ to dần dù không ăn nhiều, bác sĩ nghi có khối u, kết quả chụp CT bất ngờ phát hiện bào thai đôi.

Bụng cô gái ở Ấn Độ cứ to dần dù không ăn nhiều, bác sĩ nghi có khối u, kết quả chụp CT bất ngờ phát hiện bào thai đôi.